下载或打开 医联APP 查看完整评论
立即下载
打开APP
患者为62岁老年男性,有大于20年的尿频史。
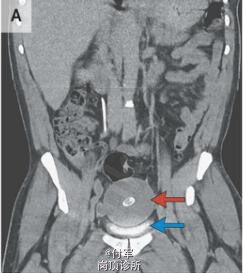
体格检查和实验室检查无异常。腹部和骨盆CT显示有一个直径为8.5cm长的肿块,伴有中心钙化(图A,红色箭头),在膀胱上方并压迫膀胱(图A,蓝色箭头)。 腹腔镜探查显示一个游离、光滑、坚硬且有弹性,10cm×9.5cm×7.5cm,重220克的肿块(图B和图C)。 切片标本包含多层,绿色墨水用来描绘切片边缘(D图)。组织学上,该肿块主要包含非细胞、分层的纤维组织,标本中心包含蛋白样组织伴有纤维样坏死,周围一圈钙化。




这名患者的尿频症状在手术切除肿块后立刻解除。
该发现符合腹腔内游离体,一种来自扭曲、梗塞、分离的网膜状附属物并转变成纤维化肿块。这样的肿块小的时候通常无临床症状,但当它们足够大时会引发外在表现,表现为肠梗阻、尿潴留或尿频(正如此患者)。译自:Peritoneal Loose Body,N Engl J Med,April 2,2015