下载或打开 医联APP 查看完整评论
立即下载
打开APP
患者,男,62岁,有超过20年的尿频史。
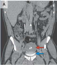
腹部和骨盆CT显示有一个中线为8.5cm长的肿块,伴有中心钙化(图A,红色箭头),在膀胱上方并压迫膀胱(图A,蓝色箭头)。腹腔镜探查显示一个游离、光滑、坚硬且有弹性,大小为10cm×9.5cm×7.5cm,重220克的肿块(图B和图C)。切片标本包含多层,绿色墨水用来描绘切片边缘(D图)。组织学上,该肿块主要包含非细胞、分层的纤维组织,标本中心包含蛋白样组织伴有纤维样坏死,周围一圈钙化。




腹腔内游离体。手术切除肿块。
这名患者的尿频症状在手术切除肿块后立刻解除。