患者,女,79岁,因“右上肢及面部不自主运动2 d”于2012-12-15入院。患者主要表现为右上肢不自主扭转样动作,以近端为重,有时为投掷样动作 , 伴有面部挤眉弄眼 、 撅嘴 。 情绪激动时加重 ,安静时减轻 ,入睡后消失。患者既往有“高血压”病史近 20 年〔口服苯磺酸左旋氨氯地平(1 片/次 ,1 次/d)+厄贝沙坦氢氯噻嗪(1 片/次 , 1次/d)降压 , 血压控制良好〕 、 有“糖尿病”病史 10 余年,使用优泌乐25R 早/16u、晚14u 两次餐前皮下注射降糖,未定期监测血糖 ; 17 年前曾患“脑梗死”,现遗留左侧肢体偏瘫;有肾功能不全病史 3 年 , 目前处于慢性肾功能不全代偿期(CKD2 期)。
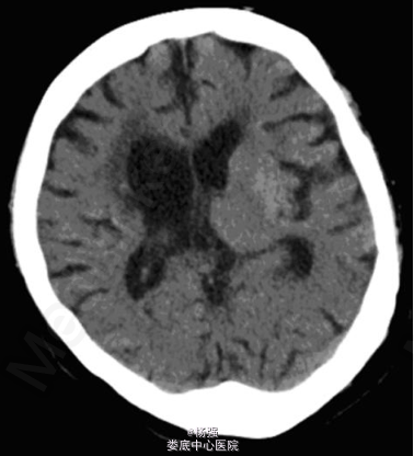
入院查体:血压120/70mmHg ,心肺腹(-),神清,言语不清,面部挤眉弄眼、撅嘴,右侧肢体不自主舞蹈样动作,肌力正常,肌张力稍高,右侧深浅感觉无明显异常,左侧肢体肌力 2-级,肌张力增高,左侧偏身痛觉障碍,左巴氏征(+),脑膜刺激征(-)。 入院后测静脉血糖 38畅28mmol/L;尿常规:糖(+++)酮体(-)。头颅 CT 提示左侧纹状体稍高密度灶,无占位效应,左侧小脑半球及右侧基底节区软化灶。

诊断:糖尿病性非酮症性偏侧舞蹈症。入院后予补液、胰岛素控制血糖,硫必利 + 氯硝西泮缓解肌张力障碍,并予抗血小板聚集、改善循环等治疗,治疗4d后患者血糖控制良好,舞蹈样动作消失,入院第5天停用硫必利及氯硝西泮,舞蹈样动作未再出现。随访1年舞蹈样动作未再复发。出院后坚持预防脑卒中、控制血压血糖等治疗,血糖控制良好。
随访1年舞蹈样动作未再复发。出院后坚持预防脑卒中、控制血压血糖等治疗,血糖控制良好。讨论:糖尿病并发偏侧舞蹈症临床上较为少见 , 一般发生于血糖控制较差的糖尿病患者 , 常表现为急性或亚急性起病 , 单侧或双侧肢体不自主 、 不规则的舞蹈样动作及挤眉弄眼 、噘嘴 、伸舌 、面肌抽搐等无法控制的面部表情异常 。目前其发病机制尚不明确 , 可能与高血糖后的代谢紊乱 、 雌激素水平及种族差异等因素有关 。该病例需与脑梗死及脑出血相鉴别 , 纹状体梗死也可以引起舞蹈样症状 , 但患者左侧纹状体未见明显梗死灶 , 虽为高密度 , 但无占位效应 , 不支持出血诊断 , 结合患者老年女性 , 急起偏侧舞蹈症状 , 入院时检查符合非酮症性高血糖诊断 , 经积极控制血糖及硫必利 + 氯硝西泮治疗后症状好转 , 故诊断为糖尿病性非酮症性偏侧舞蹈病 。来源:《中国神经免疫学和神经病学杂志》Doi :10.3969/j.issn.1006-2963.2014.06.020