打开应用

临床一例肝脏结节性增生患者

张医师   内江市第二人民医院
肝脏结节

主诉 病史

患者,女,30岁,因反复上腹部疼痛不适1年前来就诊。

查体 辅查

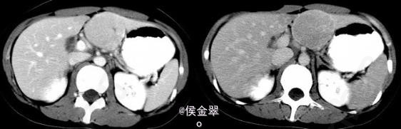
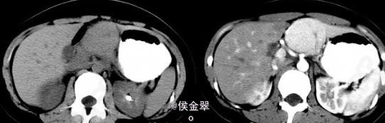
患者查体发现上腹疼痛不适,其余正常 辅查CT:平扫为低密度占位,增强后期出现快速强化。

诊断 处理

肝脏局灶性结节性增生 处理:观察随访如肿瘤生长则切除

随访 讨论

随访中,患者暂无异常

发布于 15-06-18 23:45

5 个评论

发送