打开应用

临床一例肝脏 FNH及血管瘤患者

马医师   德阳市第五人民医院德阳市东电医院

主诉 病史

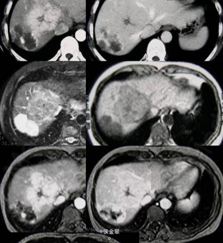
患者女,35岁,因上腹部疼痛1月前来就诊,无肝炎、肝硬化病史

查体 辅查

上腹部疼痛,其余正常 辅查CT

诊断 处理

肝脏 FNH及血管瘤 处理:手术切除血管瘤

随访 讨论

随访中

发布于 15-06-18 23:40

0 个评论

暂无评论
发送