下载或打开 医联APP 查看完整评论
立即下载
打开APP
66岁男性,因“反复骨痛6月,加重2周”入院。6月前无明显诱因出现多发骨痛,予中医等对症治疗,疗效欠佳,疼痛反复;近2周加重,全身多发骨痛明显。外院CT示腰椎多发骨破坏。为进一步诊治入院;骨穿结果示多发性骨髓瘤。既往有结核、哮喘病史。诉结核已治愈,反复多次痰图片为阴性。未规律治疗哮喘。入院后予万珂+地塞米松方案化疗;化疗第二天出现胸闷、气促、呼吸困难等症状。
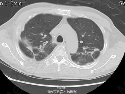
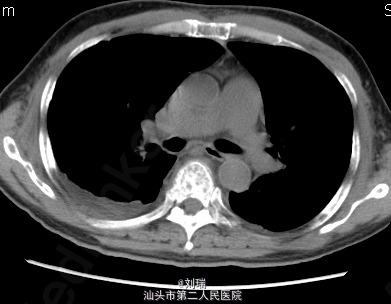
查体:急性面容,血压:110/90mmHg,心率116次/分,皮氧:99%,双肺可闻及少许哮鸣音;腹部膨隆;双下肢浮肿。患者D-二聚体由入院时470ug/L升至1090ug/L;床边胸片(图2)对比入院时(图1):见心影增大。


诊断:1、多发性骨髓瘤;2、气促查因:哮喘发作?急性肺损伤?急性肺栓塞? 处理:予告病重,心电监测,予面罩高流量吸氧,氨茶碱针平喘解痉,令舒+可必特+沐舒坦氧雾化吸;甲强龙针对症处理;呋塞米针(速尿)利尿等对症处理;患者D-二聚体由入院时470ug/L升至1090ug/L;不排除肺栓塞可能,经请示上级予前列地尔针(保达新)+低分子量肝素钙针治疗。考虑患者肺部感染加重,升级抗生素。
经上述处理,患者症状稍好转后行胸CT增强:双肺上叶继发型肺结核,双肺散在感染性病变;心包少量积液;双侧少量胸腔积液。经感染科会诊:考虑结核急性发作期可能性不大。继续上述对症处理后,患者症状逐渐好转;应用万珂后骨痛症状较入院时好转。 讨论:因万珂所致急性肺损伤发生率极低;最终考虑该患者为哮喘发作;化疗后出现气促、呼吸困难是否与万珂相关?

