下载或打开 医联APP 查看完整评论
立即下载
打开APP
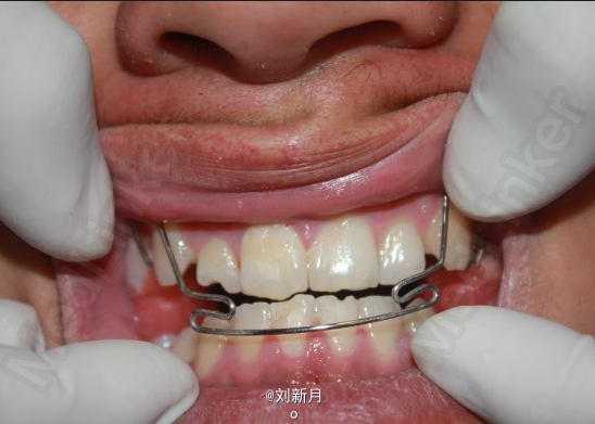
主诉:地包天求矫治 既往史:无矫治史,无牙科治疗史,无外伤史,无过敏史,无口腔不良习惯,无家族遗传史 口腔检查:恒牙列,A7-B7;C7-D8。牙齿排列整齐 尖牙磨牙III类关系,前牙反合 中线对正 面型为凹面型 关节无弹响无压痛







口腔检查 前牙反覆合,反覆盖 拍头颅侧位片,曲面断层片


诊断:安氏III类错合 矫治计划 1.前期活动矫治,后期MBT矫治技术 2.非拔牙矫治 3.利用低位唇弓解除反合,后期排齐整平牙列 4.矫治结束后尖牙,磨牙,覆合覆盖基本正常 5.面型有所改善

