患者男,81岁,因“突发胸闷2小时余”入院。患者2小时前无明显诱因出现胸闷不适,伴冷汗,无胸痛、呼吸困难、心悸等。自服“救心丹”后症状持续不缓解,家属遂呼叫救护车接入我院急诊科,急查心电图提示急性下壁心肌梗死,予口服负荷剂量拜阿司匹林、氯吡格雷等,我科会诊后立即转入CCU。既往史:高血压病30余年,SP最高160mmHg,长期服用药物(不详)控制;10余年前有脑梗塞,治疗后未遗留后遗症;发现血糖升高20余年,治疗情况不详。吸烟50余年,平均1包/天,未戒。余病史无特殊。
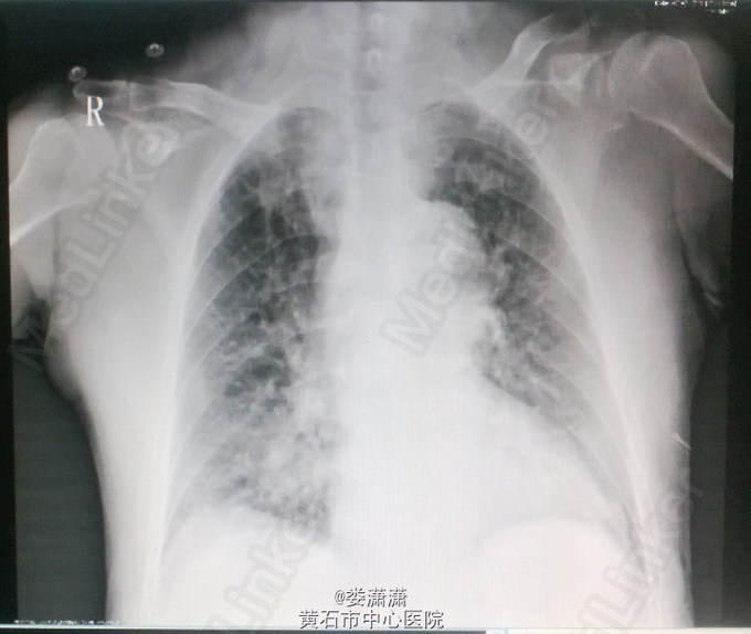
查体——体温 36.2℃,脉搏52次/分,呼吸21次/分,血压90/42mmHg。精神状态差,表情痛苦,面色苍白,四肢湿冷,口唇发绀。双肺呼吸音清,两肺未闻及干、湿罗音。心音减弱,心律齐,各瓣膜听诊区未闻及杂音。余查体无明显异常。 辅查——血常规:白细胞计数14.49G/L;肌酐 179umol/l;随机血糖 17.0mmol/l;入科时TnT 0.092ug/l,急诊介入手术后复查心肌酶:CK 7760 IU/L,CK-MB 455 IU/L,TnT 98.8ug/l;尿酸584umol/l;心脏彩超见图1;胸片见图2-3。



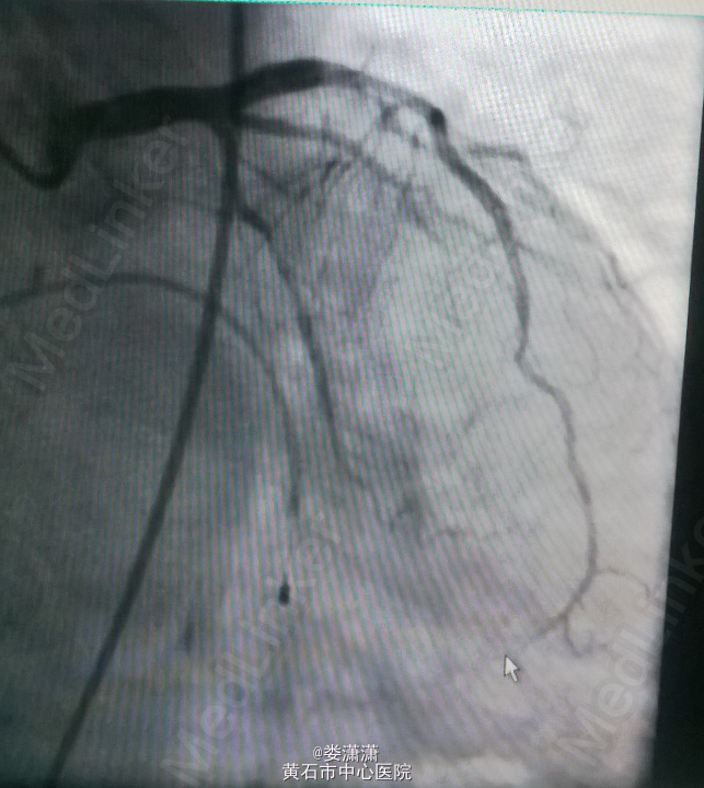
诊断:1.急性下壁心肌梗死(STEMI),心源性休克,心功能IV级(killip分级);2.高血压病2级(很高危);3.2型糖尿病;4.陈旧性脑梗塞;5.高尿酸血症。 处理——收入CCU后立即转去导管室行急诊冠脉造影术,术中见右冠中段以远全部闭塞,未见侧枝循环,前降支近中段见节段性狭窄70-80%,术中经6F Thrombuster血栓抽吸导管反复多次抽吸右冠,抽出数条红色血栓,并于右冠中段病变处植入Firebird 4.0*23mm药物支架,缝合鞘管时患者心电监护提示加速性实行逸博心律(110次/分左右),5min后突发室速、室颤,立即予床边电极除颤后转位室性逸博心律(105次/分)。返回病房后夜间患者多次出现室颤,予点击除颤、胺碘酮静滴等治疗后好转。术后24h内患者出现少尿,予静脉补液(5000ml/天左右)、利尿等,患者尿量基本维持在2000ml/天。术后辅查心电图见下壁导联ST段明显回落。余予抗血小板聚集、稳定斑块等治疗。




该患者高龄,为优势右冠闭塞,入院时病情危急,作出急诊造影的决定对我们医生及家属的压力很大,术中及术后患者多次室颤,但幸好的是该患者挺过了危险期,第二天精神状态就开始好转,这一例心梗给我们组的影响很深刻!希望和大家分享!