下载或打开 医联APP 查看完整评论
立即下载
打开APP
患者45岁男性,因“下腹痛2小时”急诊入院,而后转为固定的右下腹疼痛,既往史、个人史、婚育史以及家族史无特殊。
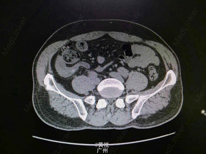
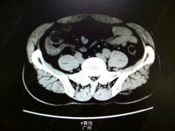
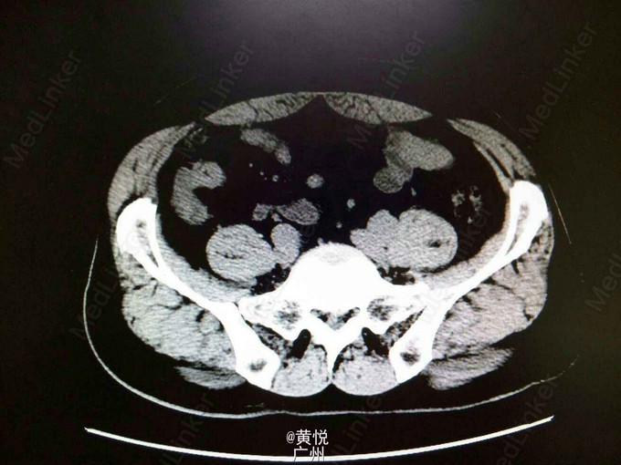
查体:生命体征平稳,屈曲体位,心肺无特殊,腹平软,右下腹麦氏点有压痛以及反跳痛,无腹部包块,双肾叩击痛(—)。辅助检查:血常规提示WBC 1.3*10^9;中性粒细胞 6.7*10^9,中性粒细胞比值正常;血生化未见异常。腹平片提示:小肠少许积气,考虑肠郁张;腹部CT检查提示结肠局部肠壁增厚并周围淋巴结增大,建议进一步检查,考虑右肾囊肿。



诊断:腹痛查因:急性阑尾炎?回盲部肿物? 处理:经过与患者及其家属充分沟通后,决定行腹腔下探查,探查发现阑尾盲端明显红肿,局部粘连,可见积脓,表面有脓苔,考虑化脓性阑尾炎,遂行腹腔镜下阑尾切除术。
该患者症状以及体征高度支持阑尾炎诊断,但是影像学等较为客观的检查并未明显提示。该病例主诊医生曾有先消炎后观察的保守治疗想法,但考虑到如果急性期不行手术,担心后期粘连严重有碍手术进行。如果你是主诊医生,你对于这种术前检查无法提供你信心的阑尾炎你怎么处理?