打开应用

牙外伤牙齿碎片翻瓣后微创粘接修复

丁医师   西南医科大学口腔医学院附属口腔医院

主诉 病史

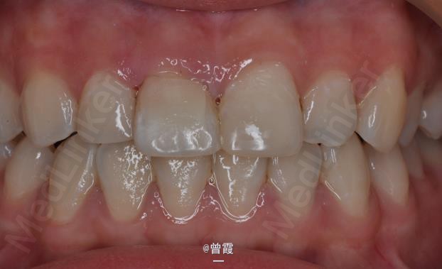
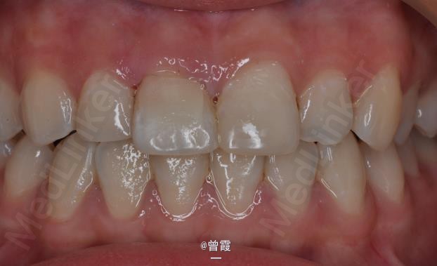
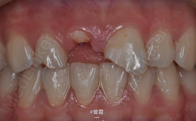
15岁 外伤一月牙齿碎片保留完好曾去多家医疗机构,都表示18岁后才能修复,后转诊我处,翻瓣后劈骨橡皮障下 牙齿碎片断面及粘接界面喷砂处理 粘接,余牙树脂修复。

诊断 处理

翻瓣微创粘结患牙

随访 讨论

恢复良好,不过长期的随访还是要继续。

发布于 15-06-16 19:26

2 个评论

发送