打开应用

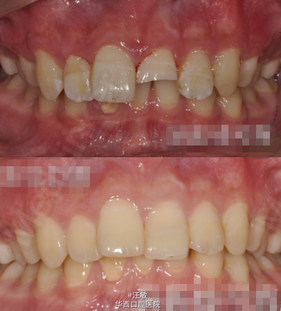
前牙外伤折断碎片重组粘接一例

汪医师   四川大学华西口腔医院

主诉 病史

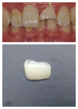
患者男,12岁,21牙外伤折断露髓,进行根管治疗后用树脂材料直接将碎片与剩余牙体组织粘接。 此方法虽能够最大限度的保留牙体组织,但也存在一定局限性,例如牙体变色,碎片再脱落,不能承受过大咬合负荷。

发布于 14-10-30 20:14

3 个评论

发送