打开应用

前牙残冠修复

孙医师   重庆市口腔医院
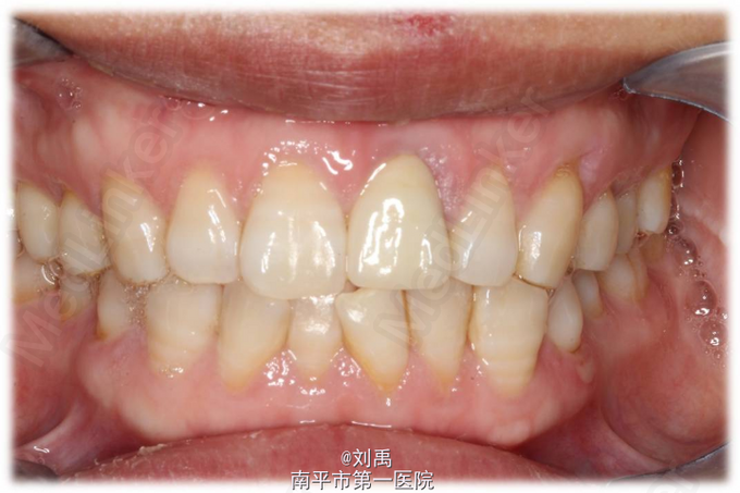
残冠 残冠

主诉 病史

主诉:前牙缺损,要求修复 现病史:患者两月前左上前牙缺损,于我院行牙体治疗,近来我科要求修复。

查体 辅查

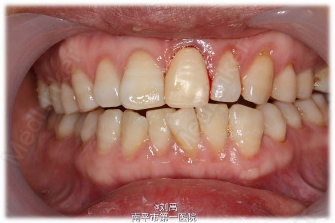
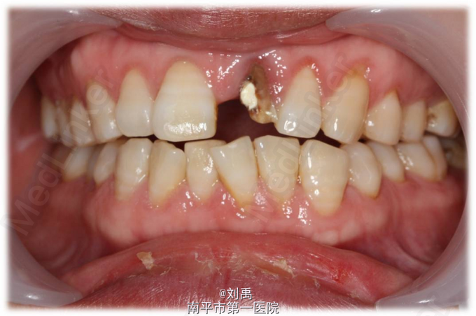
21牙根管内可见充填物,根尖周无明显异常。

诊断 处理

诊断:残冠 切龈后,预备桩道,植入纤维桩,牙体预备,比色,戴暂冠,复诊戴牙

随访 讨论

残冠位于龈下或牙龈组织增生使两侧牙龈不对称时,在牙体修复时可先考虑切龈,这样不仅备牙时更容易,也有利于修复体边缘的密合,更有利于美观。

发布于 15-06-15 20:11

5 个评论

发送