下载或打开 医联APP 查看完整评论
立即下载
打开APP
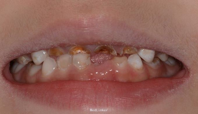
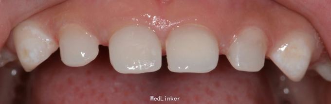
儿童6岁乳上前牙只剩牙根,唇侧牙龈有瘘管口半月,特来就诊

A1 B1 残根,可探及根管内,有黑褐色腐质物,扣(-),探(-),无松动,唇侧牙龈微红肿,各有一个瘘管口,压有浓液渗出物,A2 B2残根,呈黄褐色扣(-),探(-),无松动。

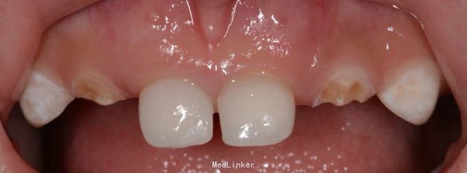
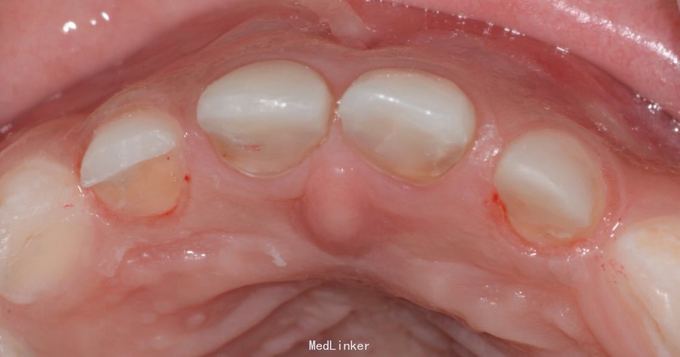
A1 B1残根,根尖炎。 常规根管治疗,树脂充填,抛光 A2 B2残根,常规去腐,备洞,树脂充填,抛光





乳牙功能恢复对发音,面部肌肉骨骼生长,儿童自信心的增长都有帮助
