58岁女性,因发现肝脏肿块就诊 患者于两周前突发右上腹剧痛,疼痛无放射,不伴有恶心呕吐或食欲下降。腹痛间歇性发作,于活动和咳嗽时加剧。 患者首次就诊于当地医院急诊科并住院治疗。行腹部超声,提示肝右叶可及直径11cm的肿块。胸部增强CT提示右肺下叶后基底段和尖段呈盘状肺不张。腹部CT发现右肝毗邻胆囊处7.8cm×5.3cm×11cm 低密度区域,轻度不匀质增强,密度低于周围肝脏组织,动脉期未发现新生血管,没有离散中心瘢痕。细针穿刺针吸细胞学检查回报可见小恶性肿瘤细胞,提示小细胞癌,但未能明确来源。 2周后患者来到本院,诉右上腹和背部疼痛,无体重下降,盗汗或食欲改变。 患者患有2型糖尿病,高脂血症,高血压,青光眼,关节炎,脊柱侧弯,肠易激综合征,反复发作的支气管炎和肺炎。患者对磺胺类药物,青霉素,头孢菌素过敏。现离异,与亲戚居住,有固定工作。无烟酒等不良嗜好,无药物滥用史。她的母亲患有阿尔茨海默病,他的父亲死于结肠癌和肾病晚期,她的姐姐40岁时患双侧乳腺癌。
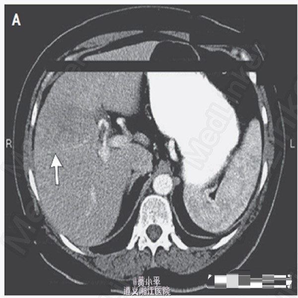
查体:BP190/97mmHg,其余生命体征正常。腹软,于右上腹可触及柔软肝脏边缘,未及肝脾肿大或腹胀。余查体正常。肝脏MRI增强发现右叶9.4cm×12.3cm×8.5cm异质性增强肿块。另有一处在第七段发现5mm病变,考虑可能为转移灶;余肝右叶多发小病灶考虑为血管瘤。(图1-3) 血浆皮质醇水平为23.5μg/dL(648 nmol/L)(参考值5-15μg/dL);血管活性肠多肽32pg /mL(参考值小于75)。入院第二天行SPECT,提示肝右叶大范围喷曲肽再摄取降低,符合MRI所示。



患者有结肠癌的家族史,58岁且没有做过肠镜,因此建议对此患者行结肠镜检查。结果发现一处盲肠肿块,并进行了活检。病理提示:细针活检标本是细胞学标本,可见簇状肿瘤细胞与血液混合。肿瘤细胞紧密排列,体积较小到中等,胞核/胞浆比值很高,粉红色细胞质很少。核仁椭圆,核分裂像多见。 本例患者较特殊。尽管我们怀疑原发灶来自结肠,但不能明确。另外,本例为低分化神经内分泌癌,而非典型腺癌,我们不确定化疗会起作用。起初病变似乎主要在右叶,然而门静脉分叉受累,左叶很可能有小的,难以界定的转移灶。 因此我们选择先行腹腔镜探查,在化疗前切除结肠肿瘤。术中发现90%肝右叶受转移累及,活检证实左叶同样有转移。患者伴有腹水。

患者发病20个月后恢复良好。我们给予奥曲肽维持治疗。不幸的是,第二次肝切除后3个月,患者再次发作右侧胸腹痛,影像学提示肝脏、胸、肋骨、脊椎等多处肿瘤复发。患者求生欲望强烈,我们继续给予化疗,但是效果不佳。患者在明确诊断后2年3个月死亡。