下载或打开 医联APP 查看完整评论
立即下载
打开APP
主诉:突发鼻腔出血6小时 病史:患者于6h前 无明显诱因出现鼻腔大量出血,为鲜红色,呈喷涌状,无头痛、呕吐、意识障碍等,自行止血后无效,遂呼叫120紧急送至我院诊治,予鼻腔内纱布填塞止血治疗后出血得到控制,门诊以“鼻出血”收入院。

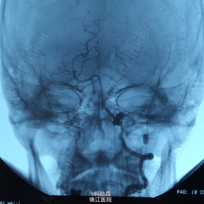
查体:神经系统未见异常 辅助检查:急诊行头颅CT提示:蛛网膜下腔出血




诊断:颈内动脉假性动脉瘤破裂 处理:急诊行DSA检查,提示颈内动脉海绵窦段动脉瘤形成并破裂向鼻腔引流,予血管内栓塞治疗,将动脉瘤腔堵塞,患者出血停止。

颈内动脉假性动脉瘤破裂多为外伤性引起或者鼻咽癌放疗后易治病,多数临床表现为鼻大出血。需要急诊行介入治疗或者开颅手术治疗,出血量多时尚需补液升压等防休克治疗。