下载或打开 医联APP 查看完整评论
立即下载
打开APP
1、体检发现左输尿管结石2月 2、患者2月前体检发现左输尿管结石,无腰痛,无其他部位反射痛,无发热,无恶心,当时未给予治疗。今为求进一步治疗来我科住院,起病以来患者一般情况尚可,体重无下降。
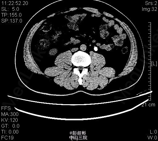
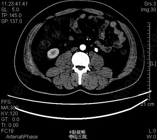
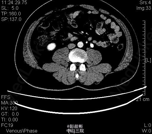
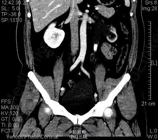
3、查体:双肾区无红肿、隆起,左肾区叩击痛(-),右肾区叩击痛(-),左侧肋脊点、肋腰点压痛(-),右侧肋脊点、肋腰点压痛(-)。腹平软,左侧输尿管走行区压痛(-),右侧输尿管走行区压痛(-),膀胱区无膨隆,压痛阴性 4、辅助检查: 我院 腹部平片 左输尿管上段结石 ;泌尿系b超 前列腺增大;右肾多发结石;左肾形态失常;左输尿管上段结石并左肾积液。CT示左输尿管上段结石、左肾小结石




5、诊断:左输尿管上段结石并左肾积液 6、入院后予以完善术前检查,未见明显手术禁忌,在全麻下行“单孔腹腔镜下左输尿管切开取石术”,术后予以一级护理,心电监护,低流量吸氧,营养支持,抗炎对症治疗。术后注意观察事项:保持引流管及尿管通畅,留意尿量及引流量
7、出院后嘱患者平时多饮水,勿行重体力活及剧烈活动6周于40日后来院拔除双J管,建议休息至拔管后。 8、讨论:随着人们生活水平的不断提高,其结石的发病率也在不断增高,不过只要我们从生活中多加注意结石还是可以预防的,注意膳食结构,尿石的生成和饮食结构有一定的关系;治疗引起泌尿系结石的某些原发病甲状旁腺功能亢进;预防和治疗泌尿系感染;多饮水;多活动等等