打开应用

泌尿系常见病,多发病--结石

彭医师   中山大学附属第三医院

主诉 病史

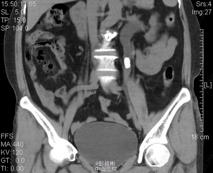
女性,56岁,左腰酸胀不适2年余。KUB:左输尿管上段结石,大小约16mm×10mm。腹部CT:左输尿管上段结石,并左肾、输尿管重度梗阻性积水。核素双肾动静态显像:左肾功能中重度减退,右肾功能正常。

发布于 15-03-10 19:46

2 个评论

发送