下载或打开 医联APP 查看完整评论
立即下载
打开APP
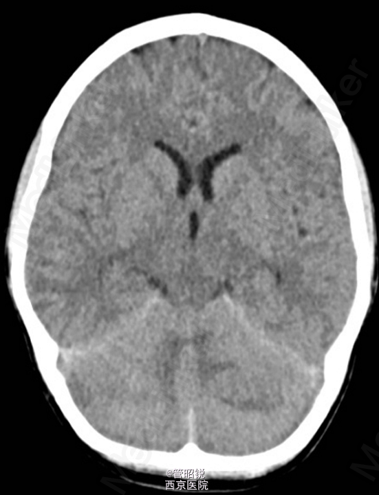
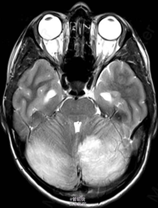
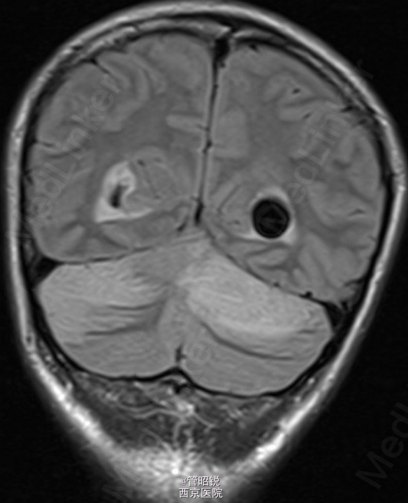
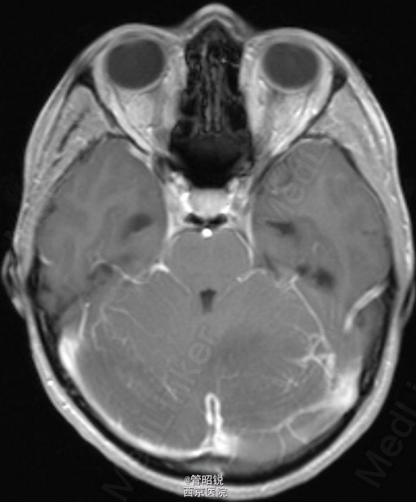
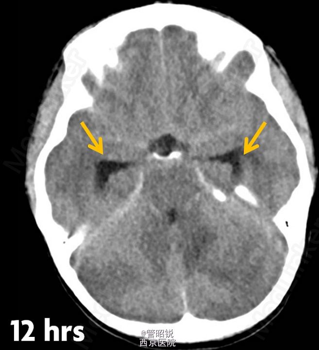
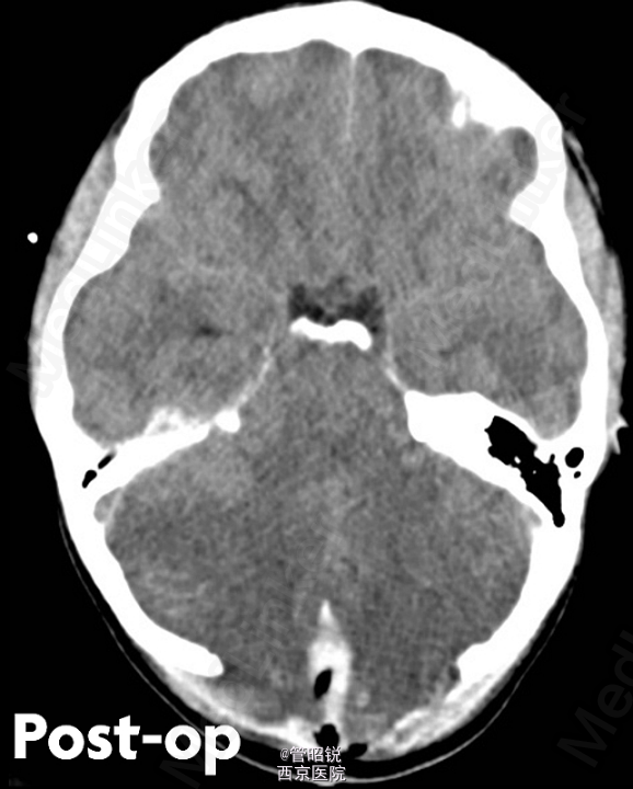
患者,男,29岁,头痛、颈痛2周 入院时CT正常,24小时后 T2WI (B) 和 T2W-FLAIR (C)显示高信号增强,脑水肿,沟回消失。CE-T1WI (D)显示脑膜线样增强。随后12小时的非增强CT显示小脑水肿压迫脑干,由于阻塞性脑积水使颞角膨大,需要紧急行颅后窝颅骨切除减压术。(影像资料比较典型。和大家分享下 AJNR-case of the week)






诊断:急性小脑炎 治疗上应早期应用激素治疗,水肿严重时应手术行颅骨减压。
急性小脑炎是以小脑功能损害为主的炎性综合症。发病前期一般有感染病史,多见于儿童。临床表现多样,主要有躯干和肢体的共济失调,发热,眼球运动异常,言语不清,头痛,恶心、呕吐和意识水平的下降。临床诊断主要依据其典型的影像学检查,临床表现和脑脊液检查结果。