下载或打开 医联APP 查看完整评论
立即下载
打开APP
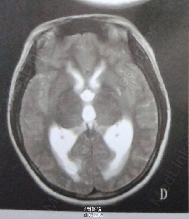
主诉:头痛伴恶心呕吐10余天 现病史:患者,女,23岁,主因"头痛伴恶心呕吐10余天“于2013年11月6日入院,患者10天前无明显诱因出现头痛,为全头胀痛,枕部明显,伴恶心呕吐,呕吐物为胃内容,无发热,自觉周身乏力,于外院就诊。具体治疗不详,上述症状无好转,头痛逐渐加重,自发病来无意识障碍,吞咽困难等症状 既往史:癫痫病史10余年,自服药物不详,控制欠佳。 入院体检:T:36.6摄氏度,R;82次/分 血压128/95mmHg,神志清,言语正常,眼部检查除外展略欠佳外,余未见异常。颈强及Kerning征阳性,四肢肌力四级。肌张力正常。膝反射亢进,双侧巴氏征阳性。眼底示双眼视乳头水肿,余查体未见异常。影像学检查如下图 辅助检查:卡马西平、丙戊酸、苯妥英钠血药浓度0.00ug/ml 诊断为:急性小脑炎 治疗:脱水降颅压及营养神经治疗

