下载或打开 医联APP 查看完整评论
立即下载
打开APP
患者因“发现颈部包块5+年”入院。专科检查:左颈后见大小约5*6cm包块,质硬、边界欠清,无触痛。
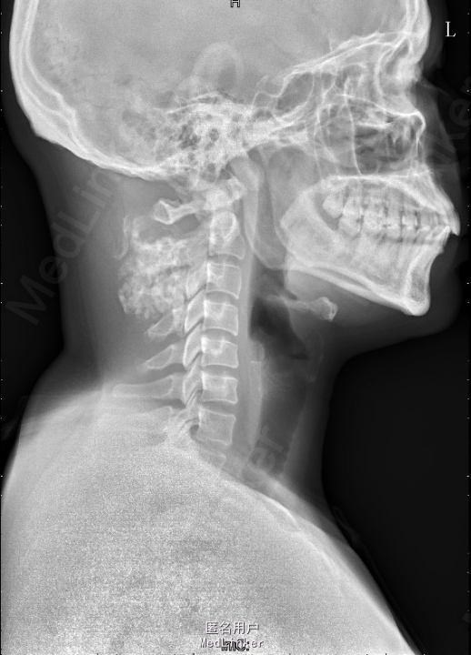
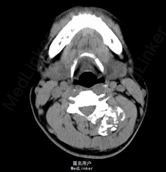
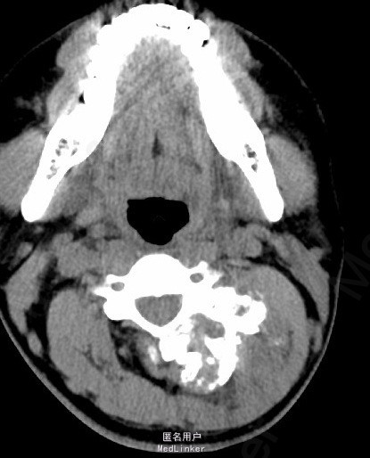
辅助检查:颈椎正侧位片示:颈部左后份软组织内见多发片状稍高密度影,约C2、3椎体平面,与椎体附件结构分界不清,颈部MRI检查示:左颈后肌间隙肿块,大小约4.9*3.9*5.4cm,考虑肿瘤病变可能性大,其他待排。入院后积极完善相关检查,查CT示:约颈3-4平面左侧软组织内见类圆形混杂密度肿块影,最大截面约4.6x4.5 cm,内见多发不规则钙化灶,增强扫描见不均匀强化,局部与邻近附件骨质关系密切,局部皮质稍显毛糙,上述考虑肿瘤性病变可能




下一步怎么处理?选择何种术式?