下载或打开 医联APP 查看完整评论
立即下载
打开APP
治疗一年来,患者临床症状缓解,左肩功能好转,影像学复查发现左侧肱骨存在骨重建。然而,接下来的四个月,癌转移进展,患者死亡。 DOI: 10.1056/NEJMicm065383

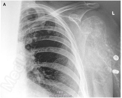
影像学发现胸部、头部转移癌。血清钙和碱性磷酸酶正常。左臂功能逐渐下降,平片发现肱骨近端骨质破坏,伴多处病理性骨折,推测是由于骨转移癌造成。

予姑息性左侧乳房全切术,术后病理示:低分化鳞癌,激素受体(-),KI指数高(核蛋白高水平表达),提示预后不良。随后病人接受了全身化疗,胸壁、头部、左侧肱骨放疗。
治疗一年来,患者临床症状缓解,左肩功能好转,影像学复查发现左侧肱骨存在骨重建。然而,接下来的四个月,癌转移进展,患者死亡。 DOI: 10.1056/NEJMicm065383
