患者女,20岁,因“发现腹部包块10余天,伴疼痛4天”入院。 患者10天前无明显诱因下发现中下腹部出现一巨大包块包块质硬,并逐渐增大,并未引起重视。4天前开始出现腹痛,疼痛呈阵发性隐痛,为求诊治,特来我院。
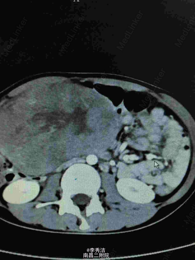
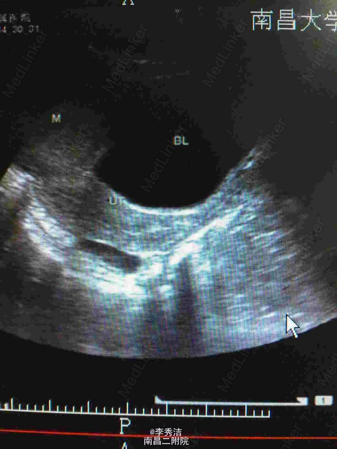
查体:中下腹部明显彭隆,未见肠型及蠕动波,未见腹壁静脉曲张,腹肌软,下腹部可触及约20*20cm包块,质硬,活动度差,叩诊实音,肝脾肋下未及,妇科检查:外阴:已婚未产式;阴道:畅软,少量白色分泌物;宫颈:少糜,宫体及双附件因盆腔巨大包块扪诊不清。血清HCG70.1mIU/ml。腹部CT示腹盆腔内见一巨大包块影,大小约16*8.1cm,增强扫描示不均匀增强,腹腔、盆腔内见积液,结合血清HCG,不排外生殖系统恶性肿瘤可能。彩超示:子宫上方巨大包块,不排除来源于附件可能,子宫、显示不清。双侧附件



诊断:腹腔包块性质待查,在全麻下行剖腹探查术,腹腔见淡黄色腹水约100ml,子宫色泽及形态无异常,左侧附件无异常,右侧卵巢见一大小约30*25cm囊肿,右侧输卵管附着于包块上,大网膜见两个绿豆大小结节,包块表面见血管丰富,术中出血较多,遂行右侧附件切除。送术中冰冻示:无性细胞肿瘤,考虑患者处于Ia期, 遂行双侧附件切除+双侧盆腔淋巴结清扫+大网膜切除术,手术顺利。术后诊断:卵巢无性细胞瘤 Ia期。
术后5天复查血清HCG降至正常。 讨论: 卵巢无性细胞瘤来源于尚未分化以前的原始生殖细胞,故名无性细胞瘤。 发病机制:无性细胞瘤(dysgerminoma)多为单侧性,50%发生在右侧,33%~35%在左侧,10%~17%为双侧性。无性细胞瘤占卵巢恶性肿瘤的百分之五,好发于青春期及生育期妇女。 首先应选择手术治疗, 手术范围的选择应尽可能保留生理及生育功能,作单侧附件切除,有实验研究证明,单侧附件切除组的预后并不比广泛手术组差。但是双侧附件均有病变、病变处于晚期等患者除了淋巴结清扫还需切除双侧卵巢。 无性细胞瘤是一种对放射线高度敏感及放疗可治愈的肿瘤,手术后加放疗,可使存活率达到100%,但由于无性细胞瘤多数为年轻患者,盆腔部放疗将影响生理及生育功能,因此其治疗上的作用受到了一定的局限。 预后:卵巢无性细胞瘤发生转移或复发者并不少见,但是,如果初次手术后即常规予以化疗,则复发者很少见;如果有复发,由于对放射治疗及化疗都高度敏感,故预后很好。