来自美国华盛顿大学医学院和 VA Puget Sound 医学中心的 Albert 博士等在近期出版的 Chest 杂志上报道了一例皮肌炎合并肺癌的病例,现与大家分享,共同学习。 患者,男性,62 岁,2 个月前出现头皮非瘙痒性皮疹,继而出现双侧眼睑及眶周水肿。非瘙痒性皮疹逐渐蔓延至全身大部分皮肤。最近 3 周,患者出现肌无力、活动后轻度肌痛以及吞咽固体食物困难。患者无其他症状。患者既往有 50 包年的吸烟史,每日饮酒 2-3 次。
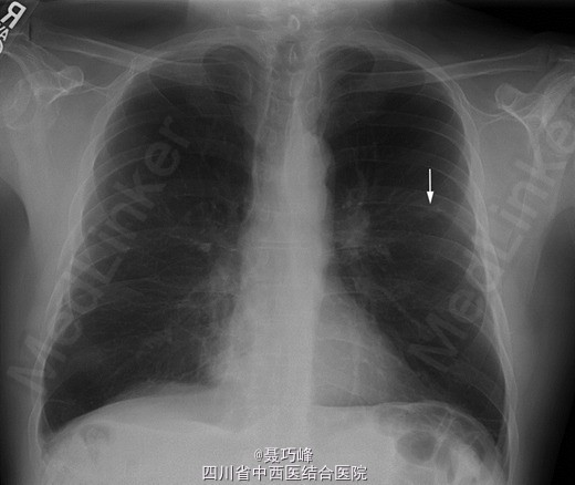
患者胸部、心脏和腹部体检结果均正常。面部、头皮、颈部、肩部及四肢有紫红色皮疹,伴随多处浅表性溃疡。患者眼睑处也有紫红色皮疹,伴眶周水肿。(图1) 双手的近端指间关节,特别是中指和无名指,存在红斑;甲周(特别是无名指)存在弥漫红斑(图 2)。甲周处存在毛细血管扩张。肌肉骨骼检查显示有双臂和双腿轻度近端肌肉无力。其他检查结果均为阴性。 CBC 计数、肾功能和电解质水平正常。异常实验室检查结果如下:天门冬氨酸转氨酶:124U/L,丙氨酸转氨酶:53U/L,肌酸激酶:1952U/L。胸片显示:左上叶小结节不透亮影(图 3)。



皮肌炎合并肺癌
皮肌炎是一种伴随近端肌无力和各种皮肤损害的炎症性疾病。常见皮肤损害包括: Gottron 丘疹,是一种常见于骨关节突起处的紫红色丘疹,如:指关节、肘部或膝盖。双上睑周边淡紫色皮疹(Heliotrpe 征),和 Gottron 丘疹一样,也是皮肌炎的典型表现。 曝光部位皮肤红斑也是一种常见的弥漫性紫红斑,好发于太阳暴晒区域,颈前及上胸部皮疹可呈“V”型分布。红斑也可累及大腿上部侧缘(holster 征)以及前臂伸侧、颈部及肩胛区,称为“披肩”征。这些异色症样病变,主要表现为萎缩、色素沉着和毛细血管扩张。 皮肌炎患者也可出现甲周改变,包括:甲皱襞处甲周红肿、毛细血管扩张以及不规则角质层出现。显微镜下检查时可发现,局部存在毛细血管血栓形成及出血。 皮肌炎患者还会出现“技工手”样改变,包括指垫角化、增厚、皲裂;手指和足底可出现角化过度伴毛囊角化;手指账面和侧面出现污秽、暗黑色色素沉着。头皮处可出现红色萎缩性斑块,上覆鳞屑,伴搔痒。 有的患者只有皮肤病变,无皮肌炎的酶学改变和临床症状,这种患者被称为无肌炎的皮肌炎;但是大多数患者存在对称性近端肌无力。 常见主诉包括:上下台阶困难,从座椅上站起困难,抬臂困难,如:梳头。肌痛较罕见。当咽部或食管上段横纹肌受累时,可出现吞咽困难和误吸口咽内容物,导致肺炎的发生。 部分患者有关节痛或对称性多关节炎,主要累及手部、手腕和脚踝的小关节。有时皮肌炎患者也会出现雷诺氏现象。心脏受累较少见,部分患者可出现传导阻滞、充血性心力衰竭或者心律失常。 当呼吸肌受累时,会出现呼吸乏力从而导致通气不足。5%-50% 的皮肌炎患者会出现间质性肺炎,最常见的是非特异性间质性肺炎,有时也会合并普通型间质性肺炎或机化性肺炎。肺部病变可能先于皮肌炎的诊断,也可能在皮肌炎诊断后再得以确诊。 实验室检查的典型特点是肌肉损伤,表现为:肌酸激酶、乳酸脱氢酶、醛缩酶、天冬氨酸转氨酶和丙氨酸转氨酶的升高。大部分患者血清中可检出自身抗体。有抗 Jo-1 抗体的患者更可能合并间质性肺炎。 肌电图典型改变包括:插入电位活动增强、纤颤电位和正锐波;自发奇异高频放电;低波幅、短时限、多相运动单位电位。但这些发现对于皮肌炎并不是特异性的。 肌肉活检显示为慢性、淋巴细胞浸润炎症,好发于血管周围或肌肉束周围,较少累及肌肉束中。病理表现为肌肉血管内,内皮细胞增生和纤维蛋白血栓出现。肌束中的微小梗塞导致肌细胞受损、坏死和吞噬,最终导致肌纤维束周围萎缩。 皮肤病理改变通常无显著特异性,主要表现有:基底层空泡变性、基底膜增厚、角化过度、表皮萎缩和真皮层散在炎症浸润。这些病理特点类似于系统性红斑狼疮。 根据患者肌无力、皮肤病变和激酶水平的升高,一般可诊断为皮肌炎。当诊断不确定时,可结合患者肌肉活检、肌电图或皮肤活检结果。肌肉 MRI 有助于显示肌炎部位,确定最佳活检区域。 糖皮质激素是皮肌炎的首选药物。大多数患者在大剂量使用糖皮质激素 2 到 3 个月后可使病情有所缓解。对于激素耐药或难治性病例,可使用甲氨喋呤、硫唑嘌呤或静脉使用免疫球蛋白。 其他的选择包括麦考酚酯、利妥昔单抗、环磷酰胺、环孢素、他克莫司、苯丁酸氮芥和生物制剂,如:依那西普或阿达木单抗。 相比普通人群,成人皮肌炎患者恶性肿瘤发生率显著增加。虽然各个研究的统计结果各不相同,但是在皮肌炎诊断的前 5 年内,大约 20% 到 25% 的皮肌炎患者会合并恶性肿瘤,不少肿瘤甚至出现在皮肌炎诊断的第一年中。 合并肿瘤的类型是多种多样的,这取决于不同的皮肌炎人群。在欧洲和美国,最常见的恶性肿瘤是肺癌(最常见为小细胞肺癌)、乳腺癌、卵巢癌、胃癌和结直肠癌;部分皮肌炎患者也会合并前列腺癌,头颈部肿瘤和非霍奇金淋巴瘤。 在一些亚洲国家,如新加坡,中国和台湾,鼻咽癌是皮肌炎患者最常见的合并肿瘤。成功治疗恶性肿瘤会使皮肌炎症状有所改善;但是对于部分患者,皮肌炎和恶性肿瘤是两种独立的疾病。因为成人皮肌炎患者罹患恶性肿瘤风险增加,应高度警惕这些患者潜在肿瘤的可能性。