打开应用

双肾都有问题,解决方案?

彭医师   中山大学附属第三医院
肾结石 肾积水 慢性胆囊炎

主诉 病史

1、男,73岁。因反复腹胀伴上腹痛4月余入院 2、患者4个月前无明显诱因出现腹胀伴剑突下疼痛,性质呈胀痛,阵发性,无放射,无恶心、呕吐,无反酸、嗳气,无腹泻,无发热,腹痛与饮食无关,腹痛平卧时可缓解,坐位时加重,不影响睡眠,当时未就诊。2个月前患者病情如前,伴头晕,胸闷,手部抽筋,余当地医院就诊,查胃镜提示:浅表-萎缩性胃炎,心电图提示:完全性右束支传导阻滞

查体 辅查

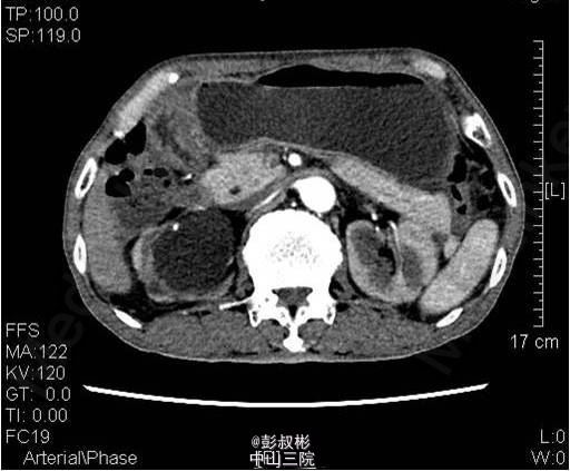
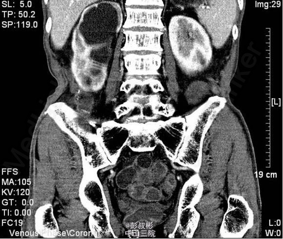
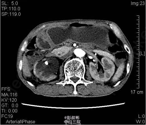
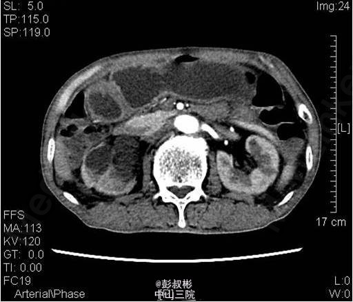
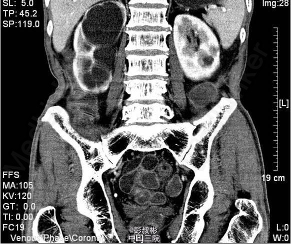
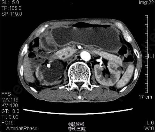
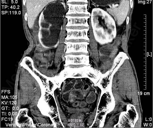
3、既往病史:既往“高血压”病史20年余,自服硝苯地平。“脑梗死”病史半年余,规律服用抗凝药物。 4、入院查体:无明显阳性体征。 实验室检查: 2015-01-11 肌酐101.2umol/L 。 2015-01-13总前列腺特异性抗原1.1ng/ml,游离前列腺特异性抗原0.3ng/ml。 2015-01-15 白细胞总数3.21x10E9/L,红细胞总数2.61x10E12/L,血红蛋白浓度78g/L,肌酐131umol/L ,白蛋白27g/L。 影像学检查: 2014-12-30心电图:完全性右束支传导阻滞。 2014-12-30全腹螺旋CT 检查所见:1、前列腺增生并钙化,建议MRI增强进一步检查除外合并肿瘤性病变。2、右侧盂管交界处结石并重度梗阻性肾积水,右肾结石;左肾多发钙化灶;左肾多发囊肿。3、慢性胆囊炎。4、双肺下叶多发小结节。 2015-01-14核素肾动态显像+GFR双血浆测定:右肾灌注、功能重度受损。左肾灌注正常,功能中度降低。肾小球滤过率:左肾为23.4ml/min,右肾为9.0ml/min。 2015-01-15彩超心脏:二尖瓣反流(轻度)。三尖瓣反流(轻度)。左室收缩功能正常。左室舒张功能减退。

诊断 处理

5、目前诊断:1、右侧重度肾积水2、双侧肾结石3、左肾多发囊肿4、慢性胆囊炎

随访 讨论

6、讨论该患者的手术治疗方式是什么呢?

发布于 15-05-24 22:23

5 个评论

发送