打开应用

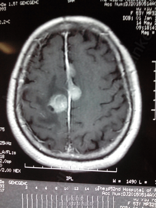
脑膜瘤术后复发(多发脑膜瘤)

左医师   四川大学华西医院
脑膜瘤 脑膜瘤

主诉 病史

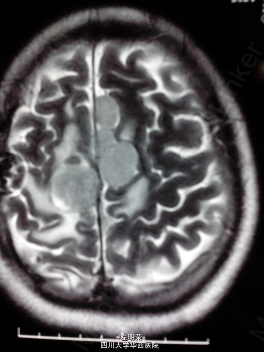
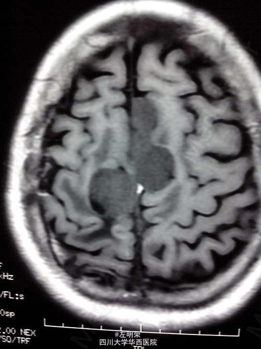
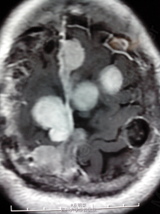
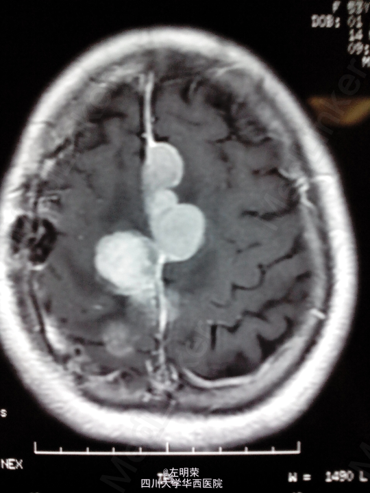
左下肢乏力伴间断抽搐半年+, 患者于5年前行左侧额叶脑膜瘤切除术,术后行伽马刀治疗数次,近来出现肢体无力伴抽搐,不规律服用抗癫痫药物,昨日再发抽搐。

查体 辅查

左下肢肌力III级,余肢体肌力可,病理反射未引出;

诊断 处理

1、多发脑膜瘤 2、继发性癫痫

随访 讨论

行占位切除术;待病理结果;术后应复查头部MRI,确定肿瘤切除情况,拟定下一步治疗方案。

发布于 15-05-24 22:20

2 个评论

发送