打开应用

左眼眶神经鞘瘤的MRI表现一例

熊医师   中国人民解放军中部战区总医院
神经鞘瘤

主诉 病史

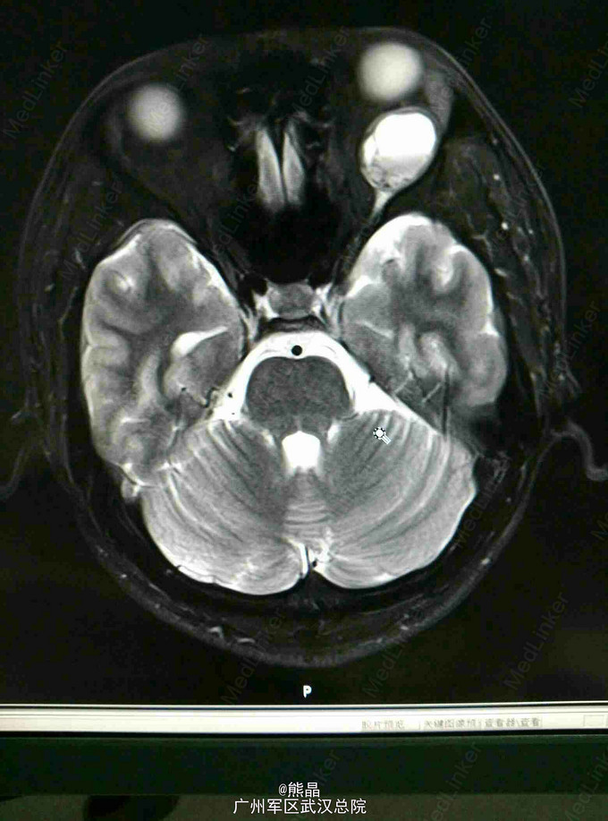
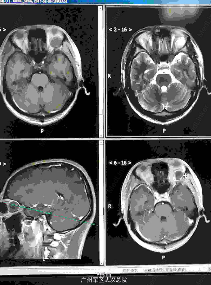
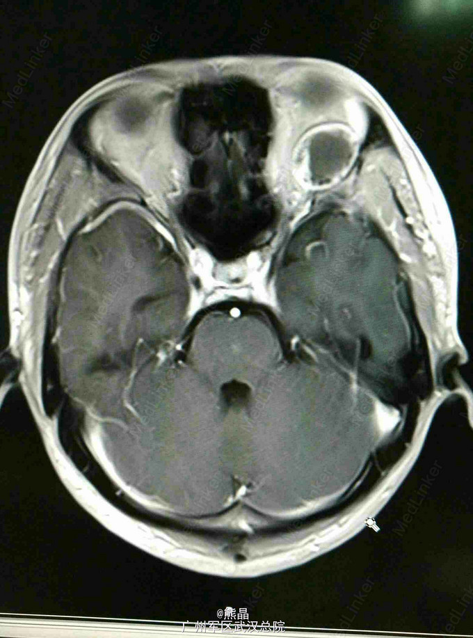
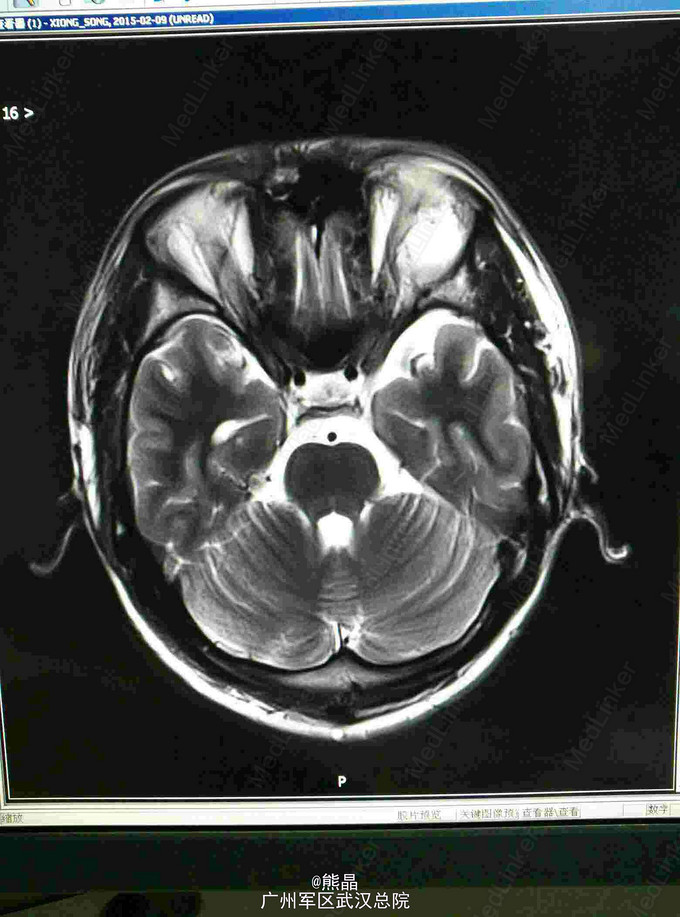
男性患者,27岁,左眼球突出2月余

查体 辅查

MRI表现:左眼眶内球后肌锥内可见一椭圆形等T1长T2信号,内可见液平,增强呈斑片状强化,余未见明显异常

诊断 处理

本院手术,术后病理,神经鞘瘤

发布于 15-05-21 16:53

0 个评论

暂无评论
发送