下载或打开 医联APP 查看完整评论
立即下载
打开APP
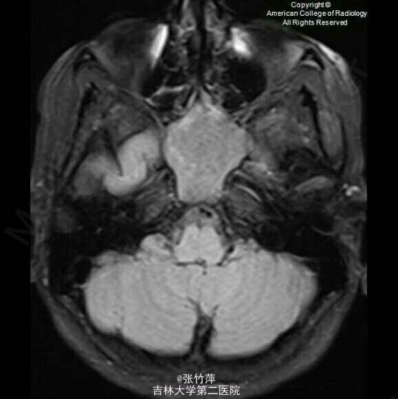
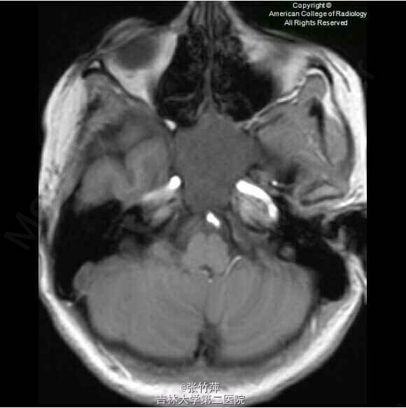
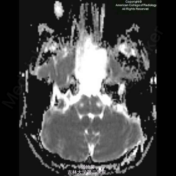
女,20岁。头痛一月余,伴复视,流泪,视力下降。
脑部磁共振图片如下







蝶窦粘液囊肿
鼻窦囊肿系指原发于鼻窦内或来源于牙或牙根并向上颌窦内发展的囊性肿物。鼻窦粘液囊肿为鼻窦囊肿中最常见者。多发于筛窦,其次为额窦,上颌窦较少见,原发于蝶窦罕见。 施行鼻窦囊肿切除术,并在受累鼻窦与鼻腔间建立宽畅的通道,以利引流、防止复发。筛窦粘液囊肿行鼻外筛窦刮除术。额窦或额筛窦粘液囊肿行鼻外额窦或额筛窦清理术。蝶窦粘液囊肿可行鼻内或鼻外开放术,但不宜刮除窦内粘膜,以免损伤颅底脑膜、视神经、颈内动脉等重要部位,只需扩大蝶窦开口即可。