下载或打开 医联APP 查看完整评论
立即下载
打开APP
打开应用
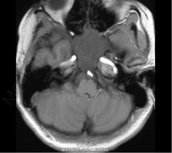
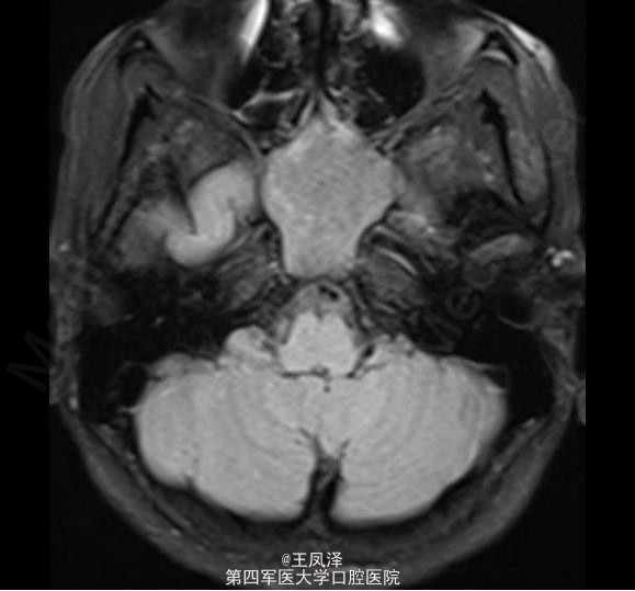
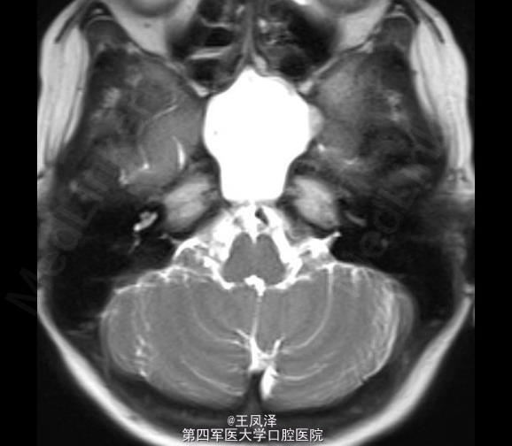
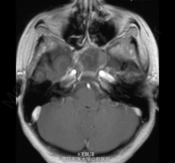
蝶窦粘液囊肿一例
王医师
空军军医大学口腔医学院
主诉 病史
女性,20 岁,在 18 个月大时诊断为自闭症和智力迟钝,目前发生多次抽搐现象,可能为癫痫发作。
发布于 15-03-06 10:51
医联推荐你看
蝶窦粘液囊肿一例
阑尾粘液囊肿1例
阑尾粘液囊肿
共
1
个评论
查看更多评论
发送
0