下载或打开 医联APP 查看完整评论
立即下载
打开APP
患者为63岁老年男性,胸片发现右肺肿块来诊。
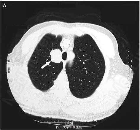
胸部CT示右肺上叶靠近纵膈处有一软组织密度肿块,与气管旁软组织紧密连接。支气管镜下见气管管腔形态正常。

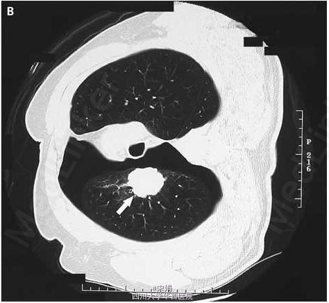
对肿块进行穿刺活检,结果导致右侧气胸,进而复查CT图像发现,当病人右侧卧位时,肿块随肺而动,与气管和纵膈完全分开。行右肺上叶切除术,术后病理结果为腺癌,未侵及脏层胸膜。

患者恢复良好,1年随访无复发征象。这个病例非常巧合,穿刺造成气胸,反而提供了有用的肿瘤分期信息。 DOI: 10.1056/NEJMicm061662