患者,女性,67岁,超声查体发现,行上腹部CT增强检查。
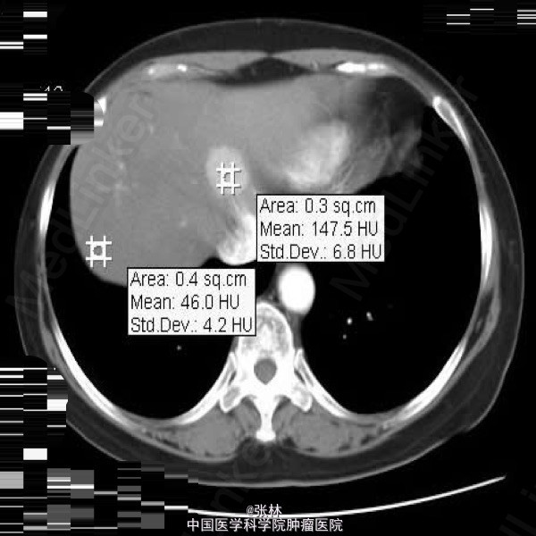
【影像表现】:肝脏形态正常,边缘光整,于肝S4段可见3×2.5cm大小稍高密度,边界清,增强扫描均匀强化,门脉期及延时扫描持续呈稍高密度;肝右叶可见密度降低。余胆、脾、胰、双肾未见异常;腹膜后未见肿大淋巴结。
【影像诊断】:肝S4段不典型血管瘤【诊断要点】:增强扫描均匀强化,门脉期及延时扫描持续呈稍高密度。
【讨论】:肝海绵状血管瘤(HCH)是肝脏最常见的良性肿瘤。CT检查是目前诊断HCH的主要方法,大多数HCH病灶具有典型的动态CT增强表现,诊断多无困难;但也有少数不典型HCH病灶CT诊断困难,如快速充盈的HCH(ffHCH)表现为动脉期完全强化,易与富血管的肝细胞癌或肝转移瘤相混淆,造成了不必要的过度手术治疗。 HCH是肝脏最常见的良性肿瘤,一般认为HCH是胚胎期中胚层肝脏血管系统的发育异常,局部血管腔扩大,形成海绵状扩张。典型HCH的CT表现为平扫边缘清楚的低密度病灶;增强扫描动脉期病灶周边结节状强化,结节的强化程度类似于动脉强化程度;门静脉期病灶向心性强化,强化程度与门静脉强化程度相似;延迟期病灶等密度填充,与正常肝组织密度一致。 ffHCH属于一类特殊的HCH病灶,其CT表现不典型,主要表现为增强扫描动脉期呈快速完全强化。ffHCH病变在病灶部位、大小、三期强化方式及APS发生率上有一定特点。(1)ffHCH病灶好发于肝右叶,且多位于邻近肝包膜的区域,这种病灶分布模式在典型HCH病例中也常见到,但机制尚不清楚。(2)ffHCH病灶多见于<4 cm的小、中型病灶,可能是由于该类病灶处于HCH病程早期,瘤内血窦成分单一(无血栓形成、纤维化、囊腔形成、出血或钙化等)。(3)动态强化模式,组织病理学检查发现ffHCH病灶内血窦管径较典型HCH细小,但结构均一,导致增强扫描动脉期对比剂能够快速、完全地充盈病灶血窦,表现为早期病灶完全强化,该表现虽然类似于结节型肝细胞癌及某些富血管肝转移瘤,但其强化程度与动脉强化近似,这种异常强化程度罕见于其他富血管的肝肿瘤;另外,病灶血管腔隙缺乏肌层和弹力纤维血流缓慢以及血窦间存在基质成分搅动血流,对比剂可长时间滞留于瘤体内,呈“慢出”状态,本组病例在门静脉期大多数病灶仍表现为高密度、少数为等密度,在延迟期大部分呈等密度、少数呈稍高密度,该动态强化方式与大多数肝癌及转移瘤不同。(4)ffHCH可出现APS,有学者认为APS征象的发生可能是瘤体内异常血窦的高速血流引起肝动脉与门静脉之间潜在的交通血管开放,从而形成病灶邻近区域肝实质在动脉期及门静脉期异常灌注强化。 综上,ffHCH病灶好发于肝右叶近包膜下区域,直径<4 cm,动脉期完全或大部分明显强化,门静脉期及延迟期持续强化,可见APS,无假包膜征及肝包膜回缩征。 肝包膜回缩征则是由于位于肝包膜下的病灶内存在较多的纤维成分,引起局部肝包膜向受牵拉向病灶方向收缩凹陷,多见于位于肝包膜下的胆管细胞癌、纤维板层肝细胞癌、某些肝转移瘤及经治疗的肝肿瘤。


