下载或打开 医联APP 查看完整评论
立即下载
打开APP
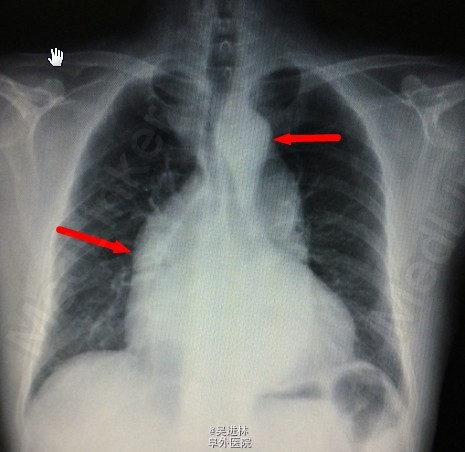
患者男,68岁,因“发现主动脉关闭不全11年”入院。患者11年前因头晕,就诊与当地医院,心脏超声提示:主动脉瓣关闭不全。后患者逐年复查,未行特殊治疗。1周前患者来我院就诊,超声提示:二叶瓣畸形,主动脉瓣重度狭窄办重度关闭不全,主动脉窦部及生主动脉增宽,未行手术入院。




II右肋间隙 3级 双期吹风样杂音 向颈部放射
诊断: 主动脉瓣二叶瓣畸形 主动脉关闭不全 主动脉窦部及生主动脉增宽 心脏扩大 心功II级 高血压病2级(极高危) 处理:手术换瓣bental
正常的主动脉瓣共有三个瓣膜。心脏收缩时,三个瓣膜同时打开,血液由左心室进入主动脉;心脏舒张时,三个瓣膜协同关闭,防止血液从主动脉返流入左心室。若主动脉瓣先天性只有两个瓣膜,称为主动脉瓣二瓣化畸形,是最常见的先天性主动脉瓣狭窄畸形。由于瓣叶结构异常,长期受到血流的不断冲击,易引起瓣膜增厚、钙化、僵硬、纤维化,最终导致瓣膜狭窄。这样会引起体循环灌注不足,头晕,乏力,心绞痛。更关键的,由于血流动力学改变,常常导致主动脉根部瘤样扩张。