下载或打开 医联APP 查看完整评论
立即下载
打开APP
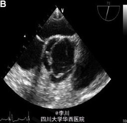
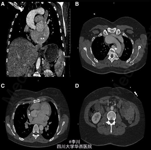
患者,女,35 岁,因车祸入院,既往曾行直肠阴道瘘修补术,诉劳力性呼吸困难多年。面部特征表现为双侧耳前凹陷、脸部不对称。查体提示左侧第二肋间舒张期杂音。血常规、心电图、胸片均未见异常。



结合病史辅助检查、体格检查,诊断为猫眼综合症,予以行主动脉瓣机械瓣置换术治疗。


猫眼综合症是罕见的常染色体异常,核酸排列为 22q11.1q11.21,22 号染色体长臂三体,额外的染色体来源于 22 号染色体近段, 并且带有 2 个染色体的着丝点和双卫星区域。其因有虹膜缺损似猫眼而得名,常表现为眼球异常、缺陷。其他特征包括肛门闭锁、外耳及肾脏心脏多发畸形,临床表现各异。心脏缺陷常表现为肺动脉回流异常和法洛四联症。四叶式主动脉瓣诊断主要依靠超声心动图。该病例中观察到四叶式主动脉瓣及中度升主动脉扩张,冠状动脉无异常。因患者有明显的重度主动脉反流症状,行机械瓣置换术治疗。尽管该患者有罕见的腔静脉连接异常,但其没有血流动力动力学异常,故术中未纠正。患者术后瓣膜功能正常。Circulation 2015.4.10 DOI:10.1161/CIRCULATIONAHA.114.013290.