下载或打开 医联APP 查看完整评论
立即下载
打开APP
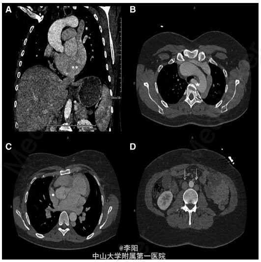
患者,女,35 岁,因车祸入院,既往曾行直肠阴道瘘修补术,诉劳力性呼吸困难多年。面部特征表现为双侧耳前凹陷、脸部不对称。查体提示左侧第二肋间舒张期杂音。血常规、心电图、胸片均未见异常。超声心动图提示升主动脉扩张(39mm),主动脉瓣重度反流。经食管超声心动图提示四叶式主动脉瓣(图 1A-1C)。增强 CT 显示双下腔静脉系统、半奇静脉及持续性上腔静脉异常,冠状动脉窦动脉瘤并主动脉四叶瓣 (图 2A-2D)。

