下载或打开 医联APP 查看完整评论
立即下载
打开APP
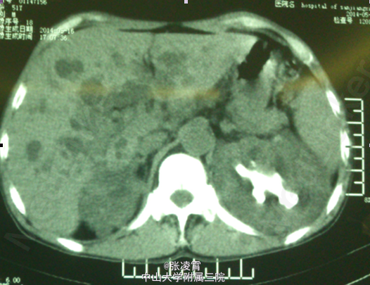
患者男性,51岁,因“左侧腰部胀痛不适20天余”入院。患者20余天前无明显诱因出现左侧腰部胀痛,未伴有发热,寒战,恶心,呕吐,轻度尿频,尿急,尿痛等不适,至柳州市工人医院就诊,尿蛋白+2g/L,潜血阳性,WBC(++),血红蛋白69g/L,肌酐450umol/L;KUB示双肾多发结石,双肾ECT示左肾GFR21.09ml/min,右肾8.84ml/min,考虑为双肾多发结石伴左肾及肾周感染,慢性肾功能不全,尿路感染,肾性贫血,经抗炎等对症治疗后,症状有所缓解。 实验室检查:尿常规:白细胞计数98http://www.medlinker.net/m/casem/12628336计数12.3个/μL,血常规:血红蛋白计数:64g/L。血生化:碳酸氢盐12.0mmol/L,肌酐443μmol/L。凝血四项未见明显异常。 影像学检查:KUB示:双肾多发结石,左侧为著,部分为铸型结石(图1)。外院CTU示:多囊肾,多囊肝,双肾结石(图2、3)。



查体:只要还是有一个双侧肾区扣击痛。其他没有什么特殊的。
1.双肾结石。2.多囊肾。
大家来讨论下下一步的治疗方案。