下载或打开 医联APP 查看完整评论
立即下载
打开APP
患者“体检发现结直肠多发息肉3年”入院。3年前于当地医院行“混合痔”术时发现直肠息肉,后肠镜检查发现结直肠多发息肉。2012年5月,在我院消化内科就诊行息肉钳除术,病理:绒毛-管状腺瘤,伴灶性高级别上皮内瘤变。 2012年8月,再次行肠镜息肉钳除,病理示管状腺瘤。为进一步治疗到我院就诊,患者无腹痛、腹胀,无恶心及呕吐,无里急后重感,大便正常,无血便,无发热。门诊拟“结直肠多发息肉”收治入院。
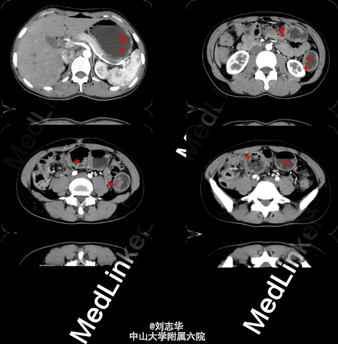
专科检查:腹壁平坦,呼吸运动正常, 无皮疹、条纹、疤痕、包块,无腹壁静脉曲张,未见胃肠型及蠕动波。 腹软,无压痛、无反跳痛、腹部肿块未触及。肝脾肋下未触及,肝区双肾区无叩痛,腹部移动性浊音阴性,肠鸣音正常,4次/分。肛检: 左侧卧位:肛门指检可及直肠多个小肿物,大小约0.2-0.5cm,表面光滑,指套无血染。 肠镜:全结直肠多发息肉(数目大于100枚);痔。 胃镜:胃多发息肉。 胸腹盆增强CT:胃内、所示左半横结肠-直肠弥漫多发息肉。



诊断:FAP 行手术治疗:腹腔镜全结直肠切除 + 回肠储袋肛管吻合 + 回肠造瘘术。




术后恢复可,因为有预防性造口,术后第一天进水,第二天进食,三天内拔除管道,七天出院。患者行全大肠切除,注意术后水电紊乱,预防性回肠造口,注意药物调节大便,干饭为主,另外,患者低位直肠亦切除,注意术后肛门功能锻炼,复查注意评估肛门功能。