29岁女性,因“上腹部疼痛不适2月,体检发现右肾上腺占位1周”入院。 患者无明显诱因出现上腹部疼痛不适2月,偶有恶心、头晕,无呕吐,无发热、寒战,无手足麻木、乏力,未予诊治。1周前我院体检并行CT示右侧肾上腺区占位肿块,大小约6.7×8.2×8.6cm,考虑嗜铬细胞瘤可能。起病以来,精神、睡眠、胃纳一般,大小便无异常,体重无明显下降。自诉既往“低血压”
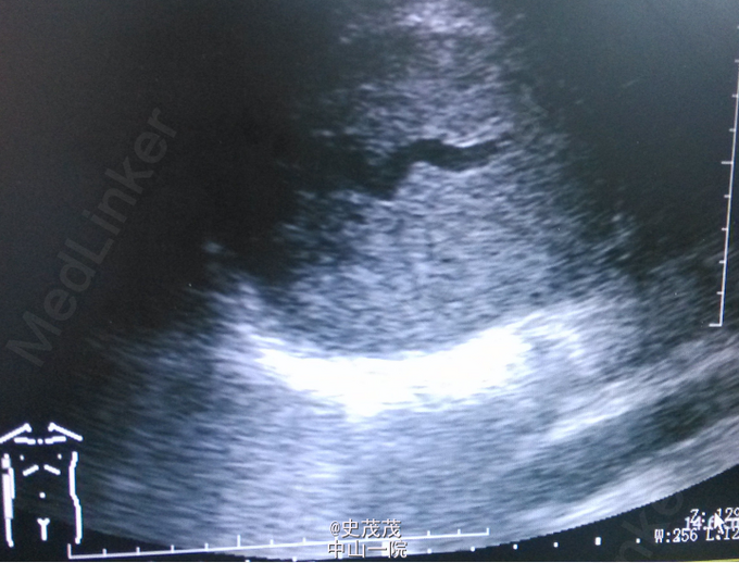
体格检查:心、肺(-)。腹平软,未见胃肠型及蠕动波。无压痛、反跳痛,未及腹部包块。肝脾肋下未及,Murphys’s sign (-),双中上输尿管点无压痛,肝、肾区无叩击痛,移动性浊音阴性。双肾区不饱满,肋腰凹存在,双肾未触及,为问及肾血管性杂音。双肾区、左侧输尿管行程区压叩痛(-)。膀胱区不膨隆,无压痛,叩诊鼓音,外生殖器无异常。 辅助检查:腹部B超示肝肾间隙范围约83×64mm低回声,边界请。彩色多普勒见血流信号。 腹部MR示右肾上腺区占位,约6.7cm×8.1cm×8.5cm大小,呈稍长T1、长T2信号,内部信号不均匀,可见斑片状明显长T1、明显长T2信号坏死区,DWI序列呈稍高信号,反相位肿块信号不减低。增强扫描,肿块呈明显不均匀强化,内部坏死区不强化,有渐进强化特征。考虑嗜铬细胞瘤可能。


初步诊断:右侧肾上腺占位:嗜铬细胞瘤? 治疗:行右侧肾上腺巨大肿瘤切除术。见右侧肾上腺肿瘤侵犯肝脏,予以切除部分肝组织,完整切除去除右侧肾上腺巨大肿瘤。术后送ICU病房监护。
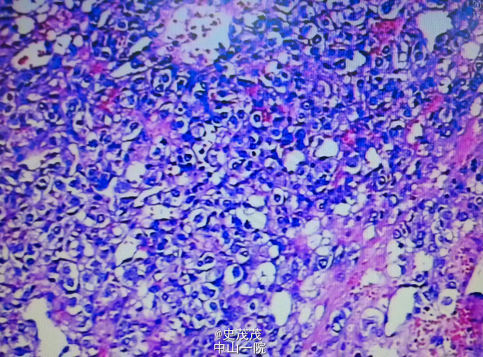
病理:镜检肿物可见纤维性包裹,肿瘤细胞实性片状分布,瘤细胞界清,胞质嗜碱性,核椭圆形,见凝固性坏死,核分裂偶见。IHC:CgA+、NSE+、Ki67阳性率约2%、CK-。结合HE及免疫组化,病变考虑为嗜铬细胞瘤。

