下载或打开 医联APP 查看完整评论
立即下载
打开APP
打开应用
种植钉,矫正牙合平面倾斜及中线一例
燕助教
北京大学口腔医院
主诉 病史
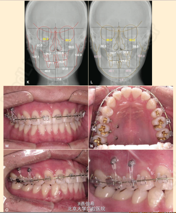
OCT 5ed病例,22岁男性,正畸治疗术后,左侧TMJ疼痛弹响,牙合平面偏斜
查体 辅查
最大牙尖交错位颏左偏,中线左偏。
诊断 处理
压低及远中移动右上磨牙解决现有问题。
发布于 15-04-21 16:17
医联推荐你看
矫正一例
矫正一例
矫正一例
共
6
个评论
查看更多评论
发送
0