下载或打开 医联APP 查看完整评论
立即下载
打开APP
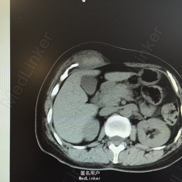
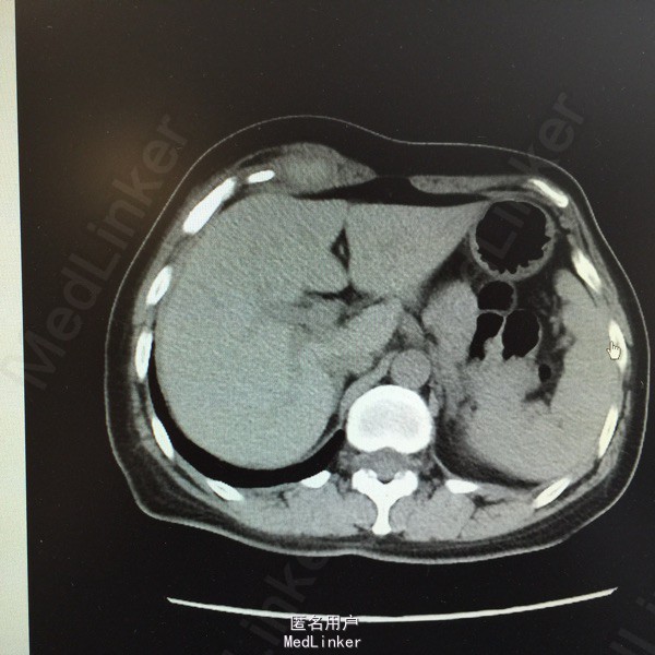
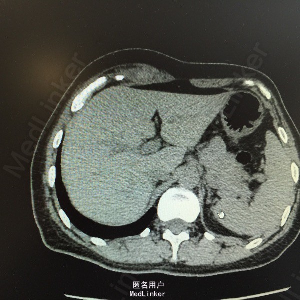
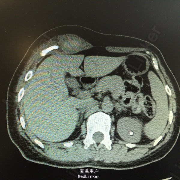
主诉:腹痛、发现腹部肿物15天。 现病史:患者于15天前因运动后突发腹痛,为持续性胀痛,伴停止排气,无恶心、呕吐,后觉疼痛缓解,并发现腹部肿物,压痛明显。当时于外院行超声:右上腹患者所指处肌层见无回声,约8*6cm大小,形态规则,边界清。现患者无诉疼痛,自觉肿块变小,为进一步诊治,收入我科。 既往史、家族史均无特殊。 查体:全腹软,右上腹近季肋部可触及一5*2cm包块,质软,活动差,压痛明显,周围皮肤无红肿、无溃烂。余无特殊。 辅助检查: 超声:患者右上腹腹壁层内肌层后方见无回声,大小约5.4*2.3cm,形态规则,边界尚清,内见少许分隔。考虑右上腹腹壁内囊性包块。 CT:右上腹季肋部腹直肌鞘内梭形软组织密度影,病变中央密度高,约65HU,边缘密度稍低,约33HU。印象:右上腹腹直肌鞘内梭形高密度影,血肿不除外。 大家考虑?



