男,14岁,因"突发头痛、左眼视野变窄1天"入院。1天前患者睡眠时无明显诱因突发头痛,以头顶枕部明显,胀痛样,伴恶心无明显呕吐,伴有左眼视野变窄,右眼无明显异常,无抽搐、肢体乏力、二便失禁等,在外院行头部CT检查提示:左顶枕脑出血。
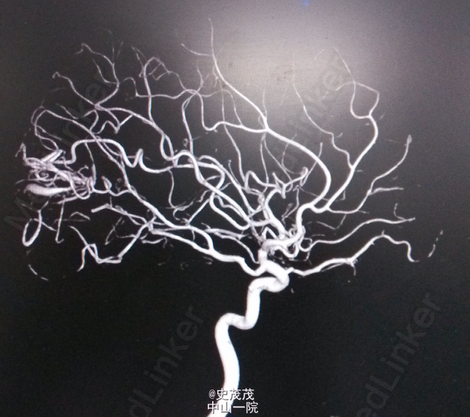
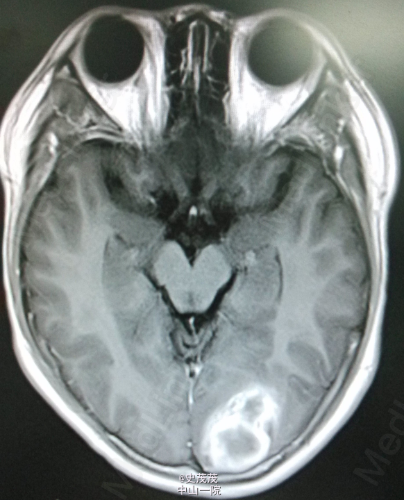
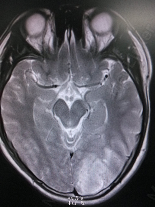
入院查体:神清,对答切题,记忆力及智力粗测正常,双侧瞳孔等大等圆,直径约2.5mm,对光反射灵敏,伸舌居中,耳鼻无异常分泌物,颈软,无抵抗,Kernig Sign(-),粗侧左眼视野变窄,其余颅神经检查未见明显异常,四肢活动好,肌力Ⅴ级,肌张力正常,生理反射存在,病理反射未引出。 辅助检查:CT:左侧枕顶叶片状高密度影伴周围低密度影,病灶范围约2.3cm×3.5cm×34cm,内见钙化灶。颅内动脉VR、MIP重建显示:左侧枕顶叶可见团状异常血管影,部分血管壁可见钙化斑,有左侧大脑中动脉供血。考虑左侧枕顶叶血管畸形并出血,建议复查。头颅DSA提示未看到输出静脉,需鉴别动静脉畸形及肿瘤。 头部MR增强扫描+头部血管扫描:左侧枕顶叶团块状异常信号影,大小约3.6×2.4×3.4cm,T1WI呈高低混杂信号,T2WI呈高信号,周围可见大片水肿区,增强后病变边缘有小片状强化影,肿块内见粗大血管影,肿块血管与邻近大脑中动脉、大脑中浅静脉关系密切。诊断提示左侧枕顶叶病变,考虑肿瘤与血管畸形鉴别,前者可能性大,合并出血,建议进一步检查




初步诊断:、左顶枕脑出血:动静脉畸形?肿瘤?。 治疗:因不能排除肿瘤出血,有介入栓塞禁忌症,故行开颅手术。术中未见肿瘤,见动静脉畸形,予切除,术后继续予脱水、止血、抗菌、营养脑神经等治疗。
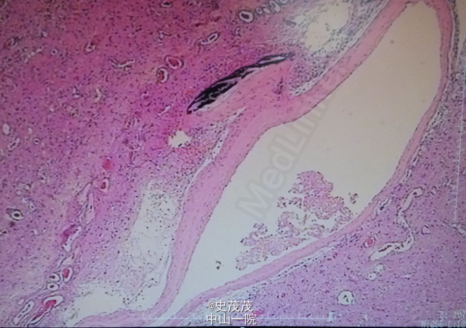
术后病理:左枕叶占位:4.5*3.5*1.8cm组织一块,切面灰红灰白,局部见囊腔。诊断提示 (左枕叶占位)结合临床,病变符合动静脉畸形。


