下载或打开 医联APP 查看完整评论
立即下载
打开APP
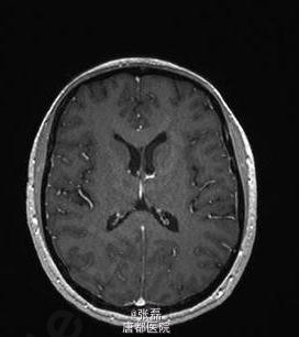
患者女性,46 岁,因头疼加重 2 周住院。住院时表现为颈部僵硬,伴有眩晕。头颅 MRI 未见明显异常。脑脊液结果示:中性粒细胞 133 个 /μl,嗜酸性粒细胞 38%。血清囊虫抗体滴度 106(正常≤0)。 脊髓 MRI 示:颈部单发囊性占位,腰部蛛网膜下腔多发囊性占位。故诊断为脊髓囊虫病,给予阿苯达唑 (2×400 mg/ 天) 驱虫、激素(强的松 60 mg/ 天)抗炎治疗 4 周。治疗期间,患者症状明显缓解,但是在随访 6 个月时,颈部疼痛仍未见缓解,MRI 示颈部囊性占位体积有所增大。



