下载或打开 医联APP 查看完整评论
立即下载
打开APP
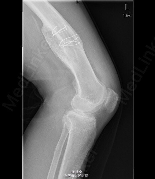
患者男,40岁,因“左股骨下段骨折术后4+年,左膝反复肿痛2年余”入院;自诉于4年前不慎被石块砸伤左大腿,伤后即觉左大腿疼痛,流血,左下肢活动障碍,患者伤后即到当地医院就诊,诊断为:"左股骨下段开放性骨折",予骨折切开复位内固定术,术后3个月下地行走,术后内固定螺钉松动、脱落,近两年来出现左膝关节肿胀、疼痛,活动时肿胀、疼痛症状加重,无畏寒发热、肢端麻木等,患者病后曾到当地医院就诊,予服药治疗后症状无明显好转,为进一步诊治遂来我院就诊,门诊拟"左膝骨性关节炎"收住我科,病程中,患者一般情况尚可,睡眠、饮食可,大小便正常,体重无明显改变。
查体:生命体征平稳,心肺腹未见异常;膝关节周围课件明显肿大,左膝关节活动受限,皮温略高;左股骨下端可扪及肿大,腘窝有一处大小约5x4cm的肿块,辅查x线片如下。




目前积极完善术前检查,拟做关节镜下关节清理术+左膝腘窝囊肿切除手术治疗。