下载或打开 医联APP 查看完整评论
立即下载
打开APP
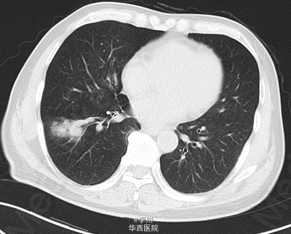
患者男,73岁,因“咳痰伴痰中带血2+月”入院。患者于2+月前无明显诱因出现咳痰伴痰中带血,无咳嗽、胸闷、胸痛等症状,未予以处理。10+天前于外院就诊,行胸部CT、心脏超声、纤支镜等检查示:右肺占位。予以口服及输液治疗13天(具体不详),症状无明显好转。


查体:双侧锁骨上淋巴结未触及肿大。视:双侧胸廓对称,未见畸形,双肺呼吸动度对称。触:触觉语颤对称,未触及胸膜摩擦感,心尖搏动位于左锁骨中线,未见异常搏动。叩:双肺叩清音,双肺活动度对称。听:左上肺呼吸音低,未闻及干湿罗音及胸膜摩擦音,心前区未及病理性杂音。纤支镜:两肺各级支气管腔未见新生物,未见管腔狭窄及阻塞。病理:未见肿瘤细胞



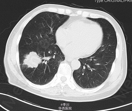
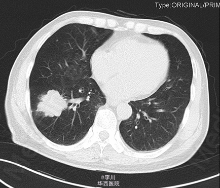
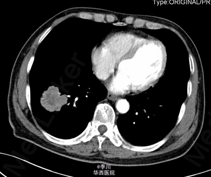
于全麻下行“VATS右肺下叶切除术+淋巴结清扫术”,术中见:肿块块位于右肺下叶,约4.2*3.9cm大小,脏层胸膜皱缩、无侵犯壁层胸膜;术中冰冻结果:(右下肺肿块)腺癌。
肺癌的分叶征是周围型小肺癌最常见的基本征象。其病理基础一是与肿瘤边缘各部位肿瘤细胞分化程度不一,生长速度不同有关;二是肺的结缔组织间隔,进入肿瘤的血管、支气管分支、从肿瘤内向外生长的血管和结缔组织等引起肿瘤生长受限并产生凹陷,从而形成分叶的形态。分叶征对于鉴别肺部包块良恶性具有重要价值。