打开应用

弥漫性细支气管炎

姜医师   重庆医科大学附属第一医院
气管炎 细支气管炎 支气管炎

主诉 病史

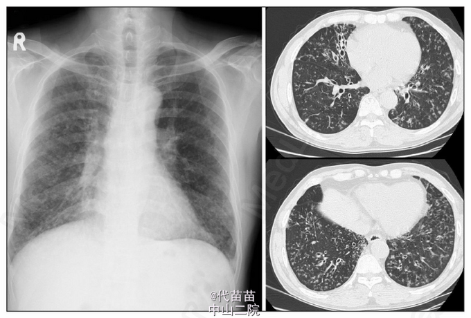
63岁男性,出现咳嗽伴大量脓痰和进行性劳力性气促,已持续10年。病史包括慢性鼻窦炎。听诊闻及干罗音和粗糙的肺泡音。实验室检查结果正常。胸透发现弥漫性网状阴影,CT扫描发现支气管扩张,小叶中心型结节和树芽状混浊。随后确诊为弥漫性细支气管炎。

发布于 15-04-07 10:55

1 个评论

发送