患者女性,22岁。因“反复咳嗽、咳痰、气急10年,加重2天”入院。患者10年前开始出现反复咳嗽、咳痰、气急,无咯血,近年来发作次数明显增加;于某三甲医院确诊为“弥漫性泛细支气管炎伴支气管扩张”,长期服用红霉素类药物;2d前因受凉后再次出现咳嗽、咯吐大量黄脓痰,伴气促,无咯血,头孢呋辛抗炎治疗1d,未见好转,今晨又出现发热,体温38。C。为进一步诊治,收治入我院。既往史:既往有慢性副鼻窦炎病史10余年。余病史无特殊。
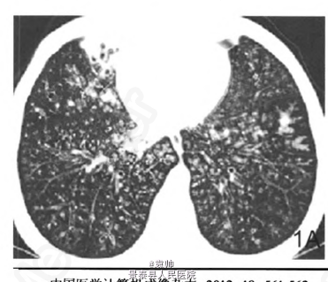
查体——体温38℃,呼吸25次/分,脉搏85次/分,血压120/80mmHg;咽部充血,扁桃体不大;双肺呼吸音清晰,双肺可闻及断续性湿罗音,未闻及哮鸣音及胸膜摩擦音;心界不大,心率85次/分,心律齐,各瓣膜听诊区未闻及杂音。余查体无明显异常。 辅查——肺CT示:两肺多发小结节、颗粒状影,弥漫性支气管壁增厚伴扩张,部分呈迂曲管状、环状及囊状改变,局部病灶呈“印戒征”,肺外带呈“树牙征”,并可见散在小斑片状密度增高模糊影;两肺门未见异常,纵隔内未见异常肿大淋巴结(图1A,B)。血常规提示白细胞轻度升高。余检验检查无特殊。


诊断——弥漫性泛细支气管炎。 处理——抗感染、平喘、止咳等治疗。
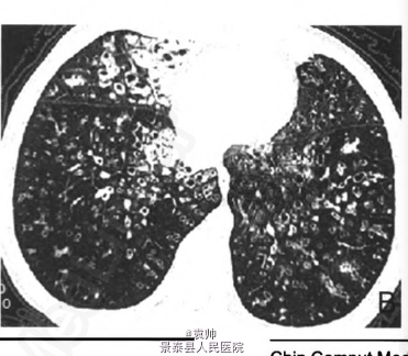
4个月后症状明显好转,复查肺部CT:双肺部结节状阴影明显减少(图1B)。弥漫性泛细支气管炎(diffuse panbronchiolitis,DPB)是一种弥漫存在于两肺呼吸性细支气管的气道慢性炎症,受累部位主要是呼吸性细支气管以远的终末气道。由于炎症病变弥漫性地分布并累及呼吸性细支气管壁的全层,故称为DPB。临床上多表现为咳嗽、咳痰和运动后气促,可表现为慢性鼻窦炎和慢性支气管炎,严重者可导致呼吸功能障碍。DPB在我国不常见,其发病率较低,故目前误诊率较高,易被误诊为支气管扩张、慢性支气管炎或肺间质纤维化等疾病。目前本病在国际上尚无统一的诊断标准,我国主要参考日本1998年第二次修订的临床诊断标准,诊断项目包括必须项目和参考项目。必须项目:①持续咳嗽、咳痰及活动时呼吸困难;②合并有慢性副鼻窦炎或有既往史;③胸部x线平片见两肺弥漫性散在分布的颗粒样结节状阴影或胸部CT见两肺弥漫性小叶中心性颗粒样结节状阴影。参考项目:①胸部听诊断续性湿罗音;②1 s用力呼气容积占预计值百分比(FEVl占预计值%)70%以及低氧血症(PaO2,<80mmHg);③血清冷凝集试验效价增高(1:64以上)。确诊需符合全部必须项目及参考项目中的2项以上。可疑诊断需符合必须项目1和2。如能早期诊断,早期治疗,DPB是可以治愈的。【摘自:《中国医学计算机成像杂志》2012,18:561-562《弥漫性泛细支气管炎1例病例报道及文献复习》】