下载或打开 医联APP 查看完整评论
立即下载
打开APP
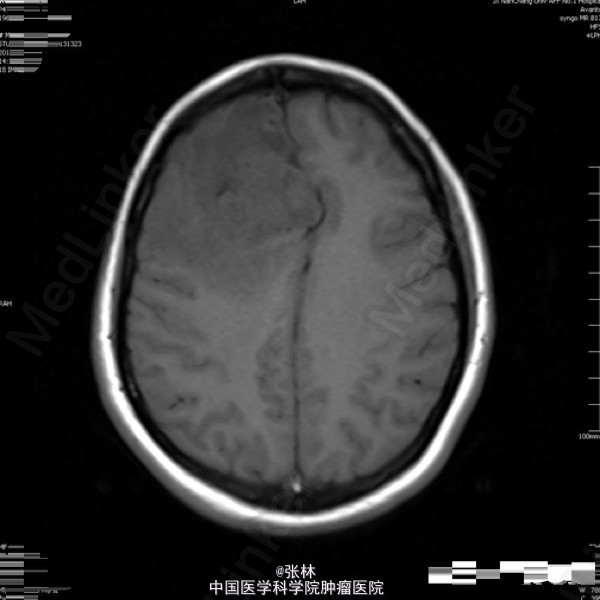
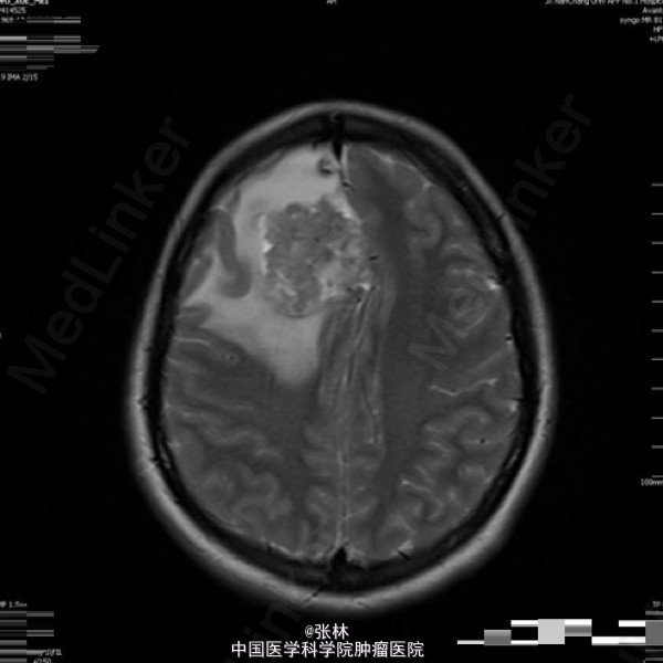
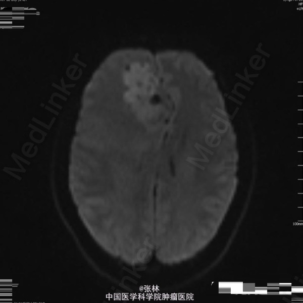
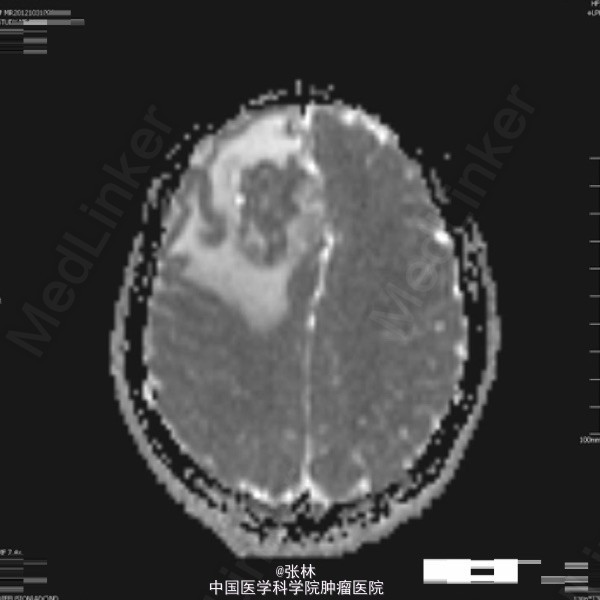
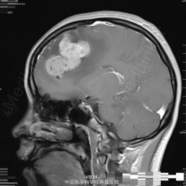
42岁女性,10余天前无明显诱因出现头痛,并呕吐胃内容物,双眼视物模糊。影像学表现:右侧额叶见一不规则形占位性病变,大小约为3.7×4.0×4.5cm,T1WI呈等、低信号,T2WI呈等、高信号,DWI仍呈高信号,周围脑组织少量水肿,增强扫描后病变呈明显强化,边缘水肿无强化。 病理: 镜检:肿瘤细胞弥漫增生,呈乳头状、腺样,细胞核卵圆形,深染。 免疫组化示:GFAP(散在细胞+)、Vimetin(+)、S100(-)、CK(+)、EMA(+)、ki-67(5%+)、CD99(部分+)、CD56(+)、NF(-)、CD34(-)、Hepa(-)、AFP(-)、mammaglobin(-)、RCC(-)、WT-1(-)、CD10(-)、CK7(-)、CK20(-)、Villin(-)、CR(-)、MC(-)、MOC31(-)。及少许脂肪组织,上皮混合组成。 讨论: 室管膜瘤来源于脑室与脊髓中央管的室管膜细胞或脑内白质室管膜细胞巢的中枢神经系统肿瘤。在胶质瘤中占6%,男多于女,多见于儿童及青年,约75%位于幕下,幕上仅占25%。文献报道幕上室管膜瘤75 ~85 %位于脑室外。脑实质内室管膜瘤起源于室管膜细胞嵴,可能是神经管内折叠时形成畸形的结果,好发部位为丘脑,其次为额叶、颞叶、顶叶。实性多见于成人,囊性多见于青少年。 幕上室管膜瘤以头痛、呕吐、嗜睡、厌食及复视等颅高压症状为主,多有局部运动功能障碍和癫痫。





