下载或打开 医联APP 查看完整评论
立即下载
打开APP
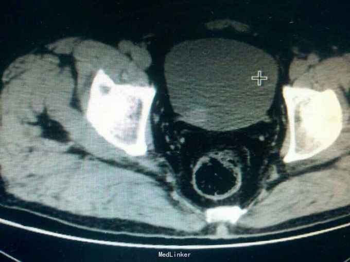
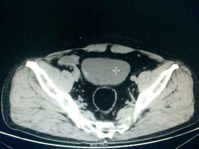
主诉:反复肉眼血尿3年。 病史:入院3年前,无明显诱因偶然发现小便呈淡红色,无明显尿频,尿急,尿痛,腰部疼痛发热等症状,后血尿广症状自行消失。一周前小便呈红色,为进一步检一治疗,来院检查。
专科查体无特殊。 ct检查结果提示,膀胱壁查见多个稍强回声闭,最大约3*3cm


诊断:膀胱癌。 治疗:膀胱肿瘤电切术,术后使用吡柔比星膀胱灌注。

膀胱癌的发生是复杂,多因素,多步骤的病理变化过程。对分期相同的膀胱癌,女性的预后比男性差。男性膀胱癌高于女性,性激素可能是导致这一结果的重要原因。经尿道膀胱肿瘤切除术既是膀胱癌重要诊断方法,同时也是主要的治疗手段,经尿道膀胱肿瘤切除目的是切除肉眼可见肿瘤,二是进行病理分级和分期。turbt术应将肿瘤完全切除直至露出正常膀胱肌层。