打开应用

播散性黄瘤——可不单单是皮肤问题

唐医师   成都高新怡禾综合门诊部

主诉 病史

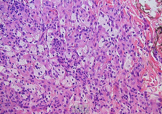
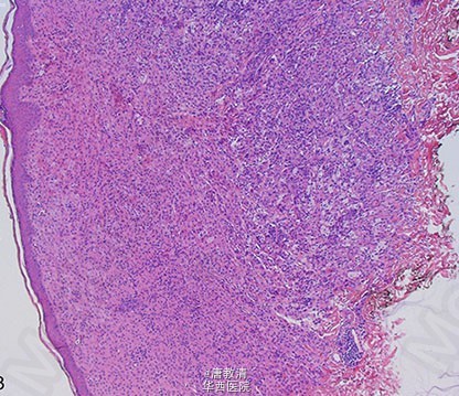
一个24岁的白人女性,躯干和腋窝呈现边界清楚的红褐色丘疹和结节约两年。值得注意的是,患者在这些皮肤病变发现之前接受了扩大切除蝶鞍肿块。入院前,患者有视野缺损,体重增加及尿崩症。

发布于 15-02-28 23:52

2 个评论

发送