打开应用

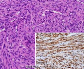
上颌骨中央性肌纤维瘤一例

王医师   空军军医大学口腔医学院
纤维瘤 纤维瘤

主诉 病史

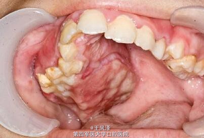
患者女,9 岁,发现右侧上颌骨无痛性肿块 3 个月余。查体见右侧上颌骨明显肿胀,质硬,不可活动,触之无疼痛感,约 3 cm× 2 cm 大小。肿块自右侧颊部向右侧腭部膨隆,右侧上颌牙齿移位,I 度松动。余未见明显异常

发布于 15-02-27 21:51

1 个评论

发送