下载或打开 医联APP 查看完整评论
立即下载
打开APP
打开应用
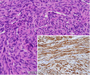
罕见上颌骨中央性肌纤维瘤一例
王医师
空军军医大学口腔医学院
纤维瘤
纤维瘤
主诉 病史
患者女,9 岁,发现右侧上颌骨无痛性肿块 3 个月余。
发布于 15-01-26 23:02
医联推荐你看
上颌骨中央性肌纤维瘤一例
上颌骨中央性肌纤维瘤一例
上颌骨中央性肌纤维瘤一例
共
0
个评论
暂无评论
发送
0