下载或打开 医联APP 查看完整评论
立即下载
打开APP
打开应用
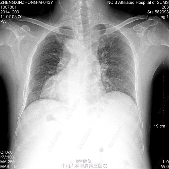
发现一个有意思的胸片。。。
徐医师
广州市花都区人民医院
主诉 病史
这是先天性脏器反位,罕见的解剖结构异常。
发布于 15-02-12 23:11
医联推荐你看
有意思的甲状旁腺疾病
一篇很有意思的病例分享
分析一个有意思的病例
共
3
个评论
查看更多评论
发送
0